こんにちは。北九州市・小倉北区にあるヤマジ歯科・矯正歯科クリニックです。
今回は、当院で人気の「マウスピース矯正(インビザライン)」について、これから矯正歯科治療を検討されている方に向けて、始める前に知っておきたい9つのポイントをわかりやすくご紹介します。
さらに、実際に当院でインビザライン治療を受けられた3名の患者さんの症例もあわせて紹介しますので、ご自身に近いケースがあるか、ぜひ参考にしてみてください。
マウスピース矯正(インビザライン)を始める前に知っておきたい9つのこと
1. インビザラインはマウスピース型の矯正装置です
マウスピース矯正は世界や日本からでも様々なメーカーから提供されていますが、その実績(症例数)はさまざまです。最近はSNS等発達もあり、昔からある「インビザライン」以外の格安マウスピース矯正(Oh my teeth, キレイライン)もみかけるようになりましたが、それらの歴史は浅く、症例数も異なります。
最も古い歴史があり、世界中で1600万人といった患者さんに利用され圧倒的な世界シェアの症例実績もあるものは「インビザライン」となります。2022年にはマウスピース型矯正装置として初のGoodデザイン賞も受賞しております。
インビザラインは、取り外し可能なマウスピース型の矯正歯科装置を使って歯並びを整えていく治療法です。透明な素材でできているため目立ちにくく、見た目を気にされる方にも選ばれています。従来のワイヤー矯正とは異なり、金属を使用せず、より快適に治療が進められる点が特徴です。
もちろん、治療の進行状況や細かいチェックのために、定期的に歯医者へご来院いただく必要はありますが、通院回数を最小限に抑えながら矯正歯科治療ができるのは、忙しい方にとって大きなメリットです。

2. 1枚で動かす距離は0.25mm、その理由とは?
インビザラインでは、1枚のマウスピース型矯正装置で約0.25mmずつ、マウスピース4枚で1㎜の歯を動かしていきます。新しいマウスピースへの交換はご自宅で患者さんご自身が行うことができるため、毎回の交換のたびに通院する必要はありません。
ここで0.25㎜の理由をご説明する前に、まず歯の構造について説明します。歯の先は「歯冠」といいますが、対して歯茎に埋まっている歯の根っこのことを「歯根」といいます。歯根の周りには骨があるのですが、歯根は骨と直接ガチっとくっついているわけではなく、歯根膜という画像のシマシマ部分が、薄いクッションのような膜を構成しており間に挟まっております。この空間(歯根膜腔)を介して骨に支えられている構造になります。

この歯根膜腔の空間の厚みが「約0.25mm」であるため、プレート1枚で0.25㎜移動するのはちょうどいい圧をかけています。
例えばプレート1枚で1㎜等、0.25mm以上を一気に動かそうとすると、クッション以上に歯を動かすため痛みや歯へのダメージが生じる可能性があります。0.25㎜ときくと小さいと思うかもしれませんが、インビザラインは科学的根拠に基づき、安全で痛みの少ない治療の工夫がされているのです。

3. 患者さんご自身でマウスピースを交換します
インビザライン・マウスピース矯正では、あらかじめ用意された複数のマウスピースを患者さん自身が指定されたタイミングで順番に交換していくことで、少しずつ歯を動かしていく矯正治療です。取り外しができる装置だからこそ、ご自宅での自己管理が可能であり、ライフスタイルに合わせて矯正を進めやすいのが特徴です。定期的なチェックは必要ですが、交換そのものはご自身で行えるため、通院の負担も軽減されます。
さらに、患者さんからは「自分自身で歯を動かしている感覚があってうれしい」という声も多く、次のマウスピースに進むたびに“レベルが上がっていくような達成感”を感じる方もいらっしゃいます。まるでゲームを一つずつクリアしていくような感覚で、楽しみながら矯正に取り組めるのも、インビザラインの魅力の一つです。

4. 歯の移動計画はコンピューターでシミュレーションができる
従来のワイヤー矯正歯科治療では、石膏模型を使って歯の動きを想定するシミュレーションを行ってきました(現在も使用されています)。一方、インビザライン・マウスピース矯正では粘土で型を取る必要がなく、3Dスキャナーでお口の中をスキャンするだけで、デジタル上での精密な歯の動きのシミュレーションが可能です。
このシミュレーションは「クリンチェック」と呼ばれ、歯がどの順番で・どれくらいの角度で・どこまで移動するかを一つひとつ確認することができます。さらに、「どの歯を何ミリ下げるのか」「歯をどの方向に動かすのか」「抜歯が必要かどうか」といった治療の重要な判断も、シミュレーション上で正確に計画を立てることができます。また、コンピューター上で抜歯あり・なしの複数パターンを比較することも可能で、治療方針をより科学的かつ具体的に選択できるのも、インビザラインならではの強みです。
治療開始前に、最終的な歯並びのイメージを視覚的に確認できるのは、インビザラインならではの大きな特徴です。

北九州市・小倉北区のヤマジ歯科・矯正歯科クリニックでも、この最新のシミュレーション技術を活用して、患者さん一人ひとりに合わせた精密な治療計画を立案しています。
5. コンピューターを使うので、どこの歯科医院でも同じ?
インビザライン・マウスピース矯正では、歯の動きをコンピューターでシミュレーションして治療計画を立てますが、その計画をどう設計するかは歯科医師の知識と経験によって大きく左右されます。
「どのタイミングでどの歯をどう動かすか」「抜歯の判断」「咬み合わせの調整」など、システムが同じでも歯科医院ごとに治療の質は異なります。
つまり、同じマウスピース型矯正装置を使っていても、どこで治療を受けるかによって結果が変わるということです。
使用するコンピューターやシステムは全国共通ですが、実際にそれを操作して治療計画を作成するのが矯正歯科医であるかどうか、専門的な知識や経験を持っているかどうかによって、治療のゴールや結果はまったく異なってきます。インビザライン/マウスピース矯正の成功には、技術だけでなく、担当医の診断力と判断力が重要です。当院では2名の矯正歯科専門の医師と2名の小児歯科専門の医師が勤務しており、子供から大人までの幅広い世代の患者さんの矯正治療やマウスピース矯正に対応しておりますのでお任せください。

尚インビザラインには2種類のマウスピースがあり、矯正経験5年以上の歯科医師が提供できるInvisalign と、未経験の歯科医師でも提供可能なInvisalign Go があるのですが、当院では前者を使用して治療を行っております。

専門的な知識と経験を活かして、一人ひとりに最適な治療計画をオーダーメイドでご提案しています。
6. 装着時間が成功のカギ
インビザラインの成功には、1日20〜22時間の装着時間を守ることが非常に重要です。食事の度に取り外しが必要なマウスピース矯正は、ワイヤーと違って常に固定されているわけではないため、装着時間・保管方法の管理が治療効果に直結します。
マウスピースの使用を1週間単位で怠ると、せっかく動いた歯が元の位置に戻るいわゆる「後戻り」が起こりやすくなります。 マウスピース矯正の場合、1日のうち20時間から22時間が推奨装着時間となり外している時間が長くなるほど、歯への影響は大きくなります。せっかくお金をかけて矯正治療を初めても、マウスピースをつけるのをやめてしまうと勿体ないですので、装着時間は守る必要があります。長時間の装着が難しいといった方にとっては装着時間はデメリットと言えます。
北九州市・小倉北区のヤマジ歯科・矯正歯科クリニックでは、患者さんのライフスタイルに合わせた装着サポートやアドバイスも丁寧に行っています。

7. 痛みは最小限
マウスピース矯正では先ほどの2.で説明したとおり、1枚での装置での移動量が0.25㎜と小さいことに加え、ワイヤーのような強い力がかかることがないため、痛みは比較的軽度です。交換直後に軽い締め付けを感じる程度で、ほとんどの患者さんが「想像より楽だった」と話されています。
さらに矯正装置は金属のワイヤーを口の中に取り付けるため、唇や頬の内側に口内炎ができやすかったりしますがマウスピース矯正の場合は表面が滑らかな素材の為、そういったリスクもありません。
8. すべての症例に対応できるわけではない
インビザラインは多くの症例に対応できますが、重度の不正咬合や外科的矯正が必要な場合は、他の矯正方法との併用やワイヤー矯正が必要となることもあります。ひとつ前のブログ ’インビザライン矯正・マウスピース矯正で失敗する人の特徴 ’ の中で「インビザライン・マウスピース矯正の適応症に該当しない人」という内容で詳しく解説しておりますので詳しくはそちらをご覧いただきたいのですが、
「歯の根っこ(歯根)を大きく動かす必要がある症例」「重度の出っ歯(上顎前突)/上顎の骨が前方にあるケース」「重度の受け口(下顎前突)/下顎の骨が前方にあるケース」「奥歯の抜歯が必要な症例」「インプラントを埋入している人」「埋伏歯(歯ぐきや骨の中に埋まっている歯)がある方」といった場合はインビザラインが難しい場合があります。
当院では、インビザラインの適応が難しい難治症例であっても矯正専門のドクターが診断・治療計画を立案し、インビザライン以外の適切な方法をご提案いたします。

9. 治療後の「保定」がとても大切
矯正治療が終了したあと、歯が元の位置に戻ろうとする「後戻り」を防ぐために、保定装置(リテーナー)の使用が必要です。一方で過去に矯正をされていた方で、歯並びが徐々に戻ってしまうケースがあります。
これは「後戻り」と呼ばれ、「保定装置(リテーナー)」の装着時間が不十分だったことが考えられます。
後戻りを経験された患者さんは次のように思うのではないでしょうか。
- 「また、高い治療費と長い時間をかけなければいけないのか…」
- 「諦めるしかないのか…」
実は、後戻りした歯の再矯正は部分的な矯正で済むことも多く、治療費や治療期間を大幅に軽減できる可能性が高いです。治療費や治療期間については、契約前にすべてお伝えさせていただきますので、このような悩みがある方は、ご相談ください。
この保定期間をしっかり守ることで、治療の成果を長く保つことができます。ヤマジ歯科・矯正歯科クリニックでは、保定期間中のサポート体制も整っています。

以上インビザライン・マウスピース矯正を始める前に知っておきたい9つのことといった内容でお話しました。インビザラインを実際に始める前にはこのようなメリット、デメリットを知った上で納得して進めていただきたいと願っております。
【症例紹介】実際にインビザラインで治療された患者さんの例
ここからは、実際に当院でインビザライン(マウスピース矯正)による治療を行った患者さんの3つのケースをご紹介します。
「目立たない矯正」「痛みが少ない」「取り外しできて快適」など、インビザラインの特徴を活かしながら、それぞれの方が笑顔を取り戻された経過です。
あなたと似たお悩みを持っている方がいるかもしれません。ぜひ参考になさってください。

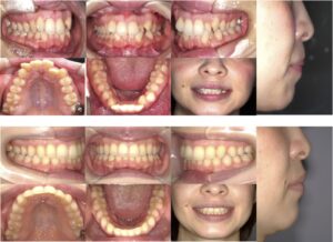
① 上下の歯並びのガタガタが気になったケース(30代女性・非抜歯)
主訴(気になっていたこと): 上下の歯並びのガタつき
診断名: 上下顎叢生(そうせい)
治療方針: 抜歯をせずに並べる非抜歯矯正
使用装置: インビザライン(マウスピース矯正)
治療期間: 約1年半
通院回数: 約30回
リテーナー(保定装置): 上あご…取り外し式プレートタイプ/下あご…固定式
費用: 約70万円(税込)
副作用・リスク: 一時的な痛み、後戻り、歯根吸収、歯髄壊死 など
治療のポイント:
ガタガタが気になり来院された患者さんです。治療は抜歯せず、マウスピースを使って比較的短期間で終了しました。
「取り外せるので食事がしやすく、痛みもあまり感じなかった」とのお声をいただいています。

インビザラインによる矯正歯科治療例1
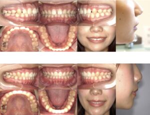
② 前歯の隙間が気になったケース(30代女性・短期間)
主訴: 上の前歯の隙間(正中離開)が気になる
診断名: 上顎正中離開
治療方針: 非抜歯矯正
使用装置: インビザライン
治療期間: 約8か月
通院回数: 約12回
リテーナー: 上…取り外し式/下…固定式
費用: 約58万円(税込)
副作用・リスク: 痛み、後戻り、歯根吸収、歯髄壊死 など
治療のポイント:
前歯の隙間が気になるというお悩みで来院されました。比較的軽度の症状だったため、8か月という短期間で治療を終えることができました。
治療中も快適に過ごせたと、ご本人も満足されていました。

インビザラインによる矯正歯科治療例2
③ 歯周病を伴うガタガタのケース(30代女性・歯周管理重視)
主訴: 上下のガタガタ+歯ぐきの状態が気になる
診断名: 上下顎叢生、歯周病を伴う上顎前突
症状: ガタガタ+前歯の前突・傾き
治療方針: 非抜歯で並べる治療(大臼歯の順次遠心移動)
使用装置: インビザライン
治療期間: 約2年
通院回数: 約30回
リテーナー: 上…取り外し式/下…固定式
費用: 約80万円(税込)
副作用・リスク: 痛み、後戻り、歯根吸収、歯髄壊死 など
治療のポイント:
この患者さんは歯周病もお持ちでしたが、矯正治療前に歯周病の管理を徹底したことで、安全に矯正治療を行うことができました。
マウスピースは取り外して歯みがきできるため、治療中も歯周病が進みにくいという利点があります。
抜歯せずにきれいに並べることができ、患者さんも「口元がすっきりして満足」とのお声をいただいています。

インビザラインによる矯正歯科治療例3
まとめ:インビザラインは、多くの方に合う新しい選択肢
このように、インビザラインによるマウスピース矯正は、歯並びのガタつき・すき間・口元の出っ張り・歯周病を伴うケースなど、さまざまなお悩みに対応できます。
もちろん、すべてのケースに適しているわけではありませんが、ご自身で装置を交換でき、目立たず、快適に続けられる治療法として、現代のライフスタイルにマッチした選択肢です。
「自分にはどんな矯正が合っているのか」「インビザラインが可能かどうか」を知るためにも、まずは精密な診断と専門医との相談から始めてみてください。
私たちは患者様の歯並びと健康、そして笑顔のために、最善の治療をご提案いたします。

北九州市小倉北の歯医者ヤマヂ歯科矯正歯科クリニックでは、日本矯正歯科学会の認定医と臨床指導医が在籍し難しい矯正治療の患者さんでも多くの治療を行ってきた実績があります。
特徴
- マウスピース矯正装置と裏側矯正に自信
- 「選べる」治療法/矯正装置
- 決断しやすい「治療費」
- 開業から「40 年」の信頼と実績
- 矯正の「専門書」を出版
- 「噛み合わせ」を同時に改善
- 「保険適用」の矯正治療(顎変形症・口唇口蓋裂等)
- 「ライフステージ」に合わせた矯正治療
- 「家族で」矯正治療を受けられます
これらの特徴を活かして、患者さんが安心して治療を受けられる環境を提供しています。
無料相談をお受けしておりますので気になる方は24時間ネット予約にてご予約を取られてください。

山地晃二郎
ヤマヂ歯科・矯正歯科クリニック 院長
住所 福岡県北九州市小倉北区中井5-4-26
日本矯正歯科学会 認定医
日本口腔インプラント学会
北九州市小倉北区で歯科医院の院長をしています。インプラント治療と矯正治療を得意としています。


コメント