【インビザライン後の後戻り対策】保定装置・メンテナンス・癖・親知らずの“4本柱”で後戻りゼロへ
インビザライン(マウスピース矯正)にて矯正治療を終えた直後、患者さまが一番心配されるのが—
「せっかく綺麗になった歯並び、また戻ったりしませんか?」という質問です。
北九州市小倉北区の医療法人ヤマヂ歯科・矯正歯科クリニックでは、矯正治療後の後戻りを最小限に抑えるため、明確な基準と管理体制を設けています。矯正治療は「装置を外したら終わり」ではありません。
実は、矯正治療において“後戻り防止”こそが最終ゴールです。
歯は一度動かしても、周囲の骨や歯ぐきの組織が安定するまでの間に元の位置へ戻ろうとする性質があります。
そのため、矯正後には「保定(リテーション)」と呼ばれるステップが欠かせません。
当院ではこの保定を“後戻りゼロ設計”として徹底管理しており、今日は4つの観点からポイントをご説明いたします。
-

医療法人ヤマジ歯科・矯正歯科クリニック
1. 正しい保定装置の使用が後戻り防止の最重要ポイント
矯正治療直後の歯は、まだ骨に固定されておらず非常に動きやすい状態にあります。この時期の過ごし方が、将来の歯並びの安定を大きく左右します。
● 上顎マウスピース(リテーナー)の使用ルール
- 治療後2年間:1日20時間以上の装着が必須
- 歯を支える組織が再編成される期間のため、特に重要なフェーズです。
- インビザライン矯正の方は1日20時間の装着に慣れているためこちらをお勧め
- 2年以降は夜間のみの装着でも良いですが、後戻りを絶対に防ぎたい方は継続推奨。
● 下顎のワイヤー保定(接着タイプ:リンガルリテーナー)
- 最低2年間は固定必須
- 下の前歯は生涯を通して動きやすい部位のため、長期的な使用が最も安定します。
- 装着タイプの保定装置で取り外しの必要がないためコンプライアンスを維持
- ワイヤー矯正の型は、マウスピース式の取り外し式の保定装置に慣れていないため、固定式のものがお勧め

医療法人ヤマジ歯科・矯正歯科クリニック リンガルリテーナー(固定式保定装置)
● 保定装置の破損・紛失時について
- 上マウスピース:半年経過していれば保険適用で再製作(約4,000円)
- 軽度の破れは問題なし、完全破損時はご連絡ください。
- 下ワイヤー:管理・再接着は3,000円以内で対応可能です。料金詳細はこちら
2. メンテナンスは後戻り防止+虫歯・歯周病予防の要
保定期間は虫歯や歯周病のリスクが特に高くなる時期です。当院では、後戻りの早期発見と健康維持のため、定期メンテナンスを重視しています。

● メンテナンス間隔
- リスクが高い方:2〜3か月に一度
- リスクが低い方:4か月に一度
● メンテナンス内容
- 虫歯チェック(レントゲン)
- バイオフィルム・歯石除去
- 保定装置(上マウスピース・下ワイヤー)の状態確認
- 噛み合わせの確認・微調整
3. 後戻りの最大要因は「癖(悪習癖)」|改善が成功の鍵
癖は歯に継続的な力を加えるため、矯正後でも歯が動きやすく非常に危険です。後戻りの多くは、実は“生活習慣”が原因です。
気づかないうちに歯並びが再び悪くなるという事態を避けるために治療後も医院で定期的なメンテナンスを行ないましょう。
まずは現時点で虫歯になっていないか詳しいレントゲンでチェックしてみましょう。
上のマウスピースと下の保定装置のチェックもできるので、歯並びの維持がより確実になります。

医療法人ヤマジ歯科・矯正歯科クリニック : 定期健診で保定期間も安心
● 注意すべき代表的な癖
- 舌の癖(舌突出癖・低位舌)
- 猫背、姿勢が悪い
- 頬杖をつく
- 片側だけで噛む癖
- 横向き・うつ伏せ寝

特に舌の癖は後戻りの原因となりやすいため、舌の位置を意識して生活することは重要です。

医療法人ヤマジ歯科・矯正歯科クリニック: 正しい舌の位置
当院では必要に応じてMFT(口腔筋機能療法)も行い、癖を根本から改善していきます。
具体的には「あ、い、う、べ 体操」といってお口の体操をしたり、舌の位置を正しい位置に常におくようなトレーニングを行います。

4. 親知らずの管理も後戻り予防の重要ポイント
親知らずが残っている場合、萌出時に前方の歯を押してガタつきの原因となります。そのため、保定期間中に抜歯を推奨するケースがあります。
特にインビザライン治療後は歯の移動量が大きいため、親知らずの影響を受けやすく注意が必要です。
5. ヤマヂ歯科の「後戻り保証制度」について
当院では条件を満たす患者様に、3年間の後戻り保証を提供しています。

● 保証対象条件
- 保定移行前の資料採得がある
- 二期治療である(※一期のみは対象外)
- 全顎矯正である(部分矯正は対象外)
- メンテナンスを1ヶ月後→以降3ヶ月に1回継続している
- 保定装置を指示通り使用している

医療法人ヤマジ歯科・矯正歯科クリニック: マウスピース(インビザライン矯正)
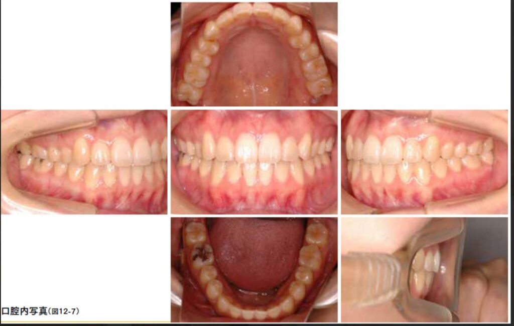
6.症例紹介
最後に、2年間の矯正治療を終え、その後の保定期間を経て、現在治療終了から8年が経過した症例をご紹介します。保定装置を適切に使用し、指示通りに管理を続けることで、治療後も長期にわたり良好な歯並びを維持することが可能です。
他の症例紹介はこちら→表側ワイヤー矯正
当院では矯正終了後も定期的に健診へ通われる患者さんが多く、結果としてきれいな状態を保てている方が多くいらっしゃいます。
●初診時

医療法人ヤマジ歯科・矯正歯科クリニック:矯正症例 初診時
●矯正治療終了:保定期間時

医療法人ヤマジ歯科・矯正歯科クリニック:矯正治療終了保定期間時
●保定期間終了時
【まとめ】後戻りゼロの鍵は「保定 × 習慣 × メンテナンス × 親知らず」
矯正後の歯並びを一生保つには、次の4つが欠かせません。
- ① 正しい保定装置の使用
- ② 定期メンテナンスの継続
- ③ 癖の改善(舌癖・姿勢)
- ④ 親知らずの管理
北九州市小倉北区でマウスピース(インビザライン矯正)治療を検討されている方、治療後の後戻りが心配な方は、ぜひ当院へご相談ください。
40年以上地域に根ざした矯正専門医が、あなたの歯並びを長期的にサポートいたします。

北九州市小倉北区の歯医者・医療法人ヤマヂ歯科矯正歯科クリニックでは、日本矯正歯科学会の認定医と臨床指導医が在籍し難しい矯正治療の患者さんでも多くの治療を行ってきた実績があります。特徴
- マウスピース矯正装置と裏側矯正に自信
- 「選べる」治療法/矯正装置
- 決断しやすい「治療費」
- 開業から「40 年」の信頼と実績
- 矯正の「専門書」を出版
- 「噛み合わせ」を同時に改善
- 「保険適用」の矯正治療(顎変形症・口唇口蓋裂等)
- 「ライフステージ」に合わせた矯正治療
- 「家族で」矯正治療を受けられます
これらの特徴を活かして、患者さんが安心して治療を受けられる環境を提供しています。

山地 晃二郎
医療法人ヤマヂ歯科・矯正歯科クリニック 院長
住所 福岡県北九州市小倉北区中井5-4-26
経歴
平成19年 明治学園高校卒業
平成25年 福岡歯科大学卒業
平成30年 九州歯科大学矯正学講座 博士課程修了 歯学博士 ヤマヂ歯科クリニック勤務
平成31年 日本矯正歯科学会認定位取得
令和3年 医療法人ヤマヂ歯科・矯正歯科クリニック 院長就任
厚生労働省 歯科医師臨床研修指導歯科医 認定
令和4年 全顎矯正と部分矯正へのアプローチ 出版
令和5年 グリーンズオーソ 「歯科矯正用アンカースクリューの活用方法」 講演
日本国際歯科大会 「開咬症例に対してインプラント治療と矯正歯科治療を応用した一症例」 講演
令和7年 オステムインプラント 2Day GUIDE BASICセミナー 講師
研修医のための矯正実習セミナー 講師
詳しい経歴はこちら



コメント