北九州市・小倉北区で矯正歯科を検討中の方へ。医療法人ヤマヂ歯科・矯正歯科クリニックでは日本矯正歯科学会 認定医・臨床指導医が、最新のデジタル機器と豊富な症例経験をもとに、一人ひとりに最適化した治療計画をご提案しています。本記事では、当院で行った部分矯正・全顎矯正・外科矯正・マウスピース矯正の代表症例を、治療の流れやポイントとともにビフォー・アフターで解説します。

この記事のゴール:北九州市(小倉北区)で矯正を考えている方が、初診カウンセリング前に自分に合った治療のイメージをお持ちいただき、安心して治療を検討いただけること。
当院が選ばれる5つの理由(北九州市・小倉北区の皆さまへ)
- 認定医・臨床指導医が担当:難症例にも対応し、再現性の高い治療計画を作成。
- デジタル矯正の標準化:口腔内スキャナー(Medit / iTero)+3D分析、必要に応じて3Dプリント模型で精密に設計。
- セファロ分析の徹底:骨格・歯軸・軟組織まで多角的に評価し、抽象論にしない治療説明。
- 通いやすい立地・予約体制:小倉北区・戸畑エリア:特に九州工業大学や、戸畑区明治学園、志明館、西南女学院大学からアクセス良好。お仕事・学校帰りにも通院しやすい。
- 料金の透明性:初診時に総額の目安・通院回数・期間を明示。分割・医療費控除のご案内も丁寧に。



それではここから早速症例を紹介していきます。まずは部分矯正からです。
症例1:前歯のガタつきを短期間で整える 部分矯正
主訴:上下の歯のガタガタが気になる。
診断:叢生/部分矯正の適応
患者プロフィール:北九州市小倉北区・20代男性。
装置:表側マルチブラケット装置(上顎=全顎/下顎=4〜4)。
抜歯:非抜歯
治療期間の目安:約1年半
費用の目安:総額 約¥550,000(個別の症状により増減)
説明したリスク・副作用:痛み、歯肉退縮、ブラックトライアングル、歯根吸収、治療後の後戻りなど。
治療の工夫・ポイント
- 上下顎にIPR(歯間をわずかに整える処置)を行い、必要最小限のスペースを確保。
- 歯列を少し拡大し、抜歯なしで前歯部の叢生(がたがた)を改善しました。
- 下顎の奥歯には装置を装着しない設計のため、初期は噛み合わせが不十分になりうる点を事前に説明。
- 短期間・低負担を重視しつつ、長期安定のためリテーナー管理を徹底。
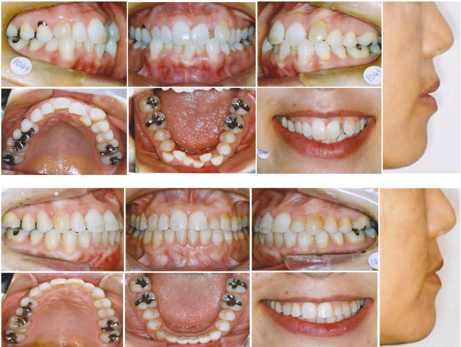
Before/After(上段:右側・正面・左側/下段:上顎咬合面・下顎咬合面・スマイル/最右:側貌)

矯正Before/After:矯正治療 費用と期間、そして仕上がりも満足いただけました。
症例コメント:
「できるだけ費用をおさえて、できれば1年半以内に終えたい」というご希望に合わせて、見た目に配慮した表側の部分矯正をご提案しました。
下の奥歯(大臼歯)には装置を付けず、歯と歯の間をほんの少しだけ削って隙間をつくる処置(IPR)と、歯列のカーブを無理のない範囲で整える調整を組み合わせて、効率よく並べていく計画です。
その結果、予定どおりの期間で前歯のガタつきが改善し、見た目も噛み合わせもスッキリ。
「費用と仕上がりのバランスがちょうど良かった」と、とてもご満足いただけました。今はリテーナーで後戻り予防を行い、きれいな歯並びをキープしています。

症例2:抜歯なしでガタガタな歯をきれいに 全顎矯正
主訴:前歯の歯並びと噛み合わせが悪い。口を開けると顎が痛い、偏位がある。
患者プロフィール:北九州市小倉北区・50代女性
診断名:Angle I級叢生症例
症状:叢生(歯ががたがた)
治療方針:上下顎歯列弓拡大+ストリッピング(IPR)。抜歯なしでアーチを整える計画。
装置:白い表側矯正装置(セラミック/マルチブラケット)
抜歯:なし
治療期間:2年6か月
通院回数:30回
リテーナー:上=プレートタイプ/下=フィックスタイプ
費用概算:装置料約¥420,000+管理調整料(総額目安)+撤去時診断料¥10,000 ≒ ¥550,000(税別)
説明したリスク・副作用:痛み、治療後の後戻り、歯根吸収、歯髄壊死など。
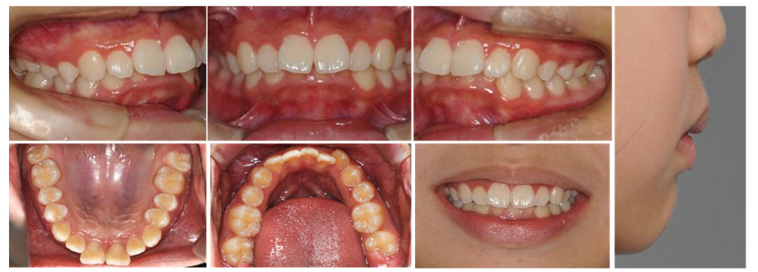
Before/After

矯正Before/After:ガタガタの歯がキレイになって笑顔に自信が持てるように
症例コメント:今回の患者さまは、歯がガタガタに並んでしまう「叢生(そうせい)」と呼ばれる状態でした。歯の並ぶスペースが不足していると、多くの場合は抜歯が必要と考えられますが、当院では歯列のアーチを丁寧にコントロールし、一部の歯をほんの少し削るIPR(アイピーアール)という方法を組み合わせることで、抜歯をせずにきれいな歯並びを実現しました。
治療後には歯ぐきの下がり(歯肉退縮)も見られず、長年気にされていた見た目や噛み合わせの問題が解消されました。さらに、顎関節の不調も改善され、患者さまから「本当に治療を受けてよかった」と大変喜んでいただけました。
症例3:出っ歯と顎関節症も改善して横顔までキレイに 全顎矯正
主訴:前歯が出ている 歯のガタガタ
診断名: 叢生を伴う上顎前突
症状: 顎関節症 スリーインサイザー
患者プロフィール:北九州市小倉北区20代女性
治療方針:上顎両側4番抜歯 下顎左側4番抜歯
治療装置:白い表側矯正装置(マルチブラケット)
治療方針:上顎前突の改善・抜歯
治療期間:2年半
通院回数:30回
リテーナー:上プレートタイプ・下フィックスタイプ
治療費用:セラミックブラケット装置料(\420,000)+管理調整料(\12,0000) +装置撤去時診断料(\10,000) =\550,000(+消費税)


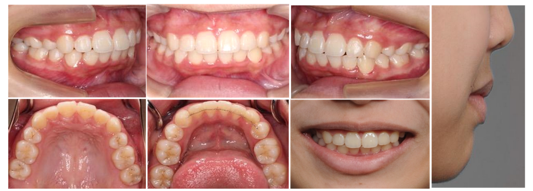
矯正Before/After:生まれつき歯がないといった珍しい症例にも対応可能
症例コメント: この患者さんは口元が出ている(出っ歯)が主訴で抜歯を行う治療方針としました。また下の右側の前から2番目の歯が1本欠損していました。
生まれつき下の前歯が一本ないことをスリーインサイザーと言います。
スリーインサイザーの患者さんで口元を引っ込めて、かつ前歯の真ん中を合わせるためには、上の歯を2本、下の歯を1本だけ抜く必要があります。
診断の結果上顎は左右の前から4番目の歯を抜き、下顎は左側の4番目の歯を抜くこととしました。
結果として口元の突出感が減少し、真ん中も合わせることができました。
全顎矯正のポイント💡
- 全顎矯正では、見た目だけでなく**機能(咀嚼・発音・呼吸)**まで最適化。顎関節や筋機能も評価します。この機能については当院が開業以来大切にしているポイントです。
- 抜歯/非抜歯は顔貌・歯並びのカーブ(アーチ)・歯の傾きの総合評価で決定。長期安定を第一に考えます。
症例4:骨格的不正を根本から整える外科矯正(保険適応)
主訴:下顎が出ている(受け口)
診断名:叢生を伴う下顎前突症例
症状:骨格性下顎前突・叢生
患者プロフィール:北九州市小倉北区・20代女性
治療方針 ①叢生の改善(術前矯正で歯列を整備)②顎矯正手術:上顎骨の前方移動+下顎骨の後方移動③術後矯正で最終咬合を仕上げ、保定へ移行
装置:白い表側矯正装置(セラミック/マルチブラケット)+Ⅲ級ゴム
抜歯:非抜歯
治療期間:2年6か月(術前・術後を含む)
通院回数:30回
リテーナー:上=プレートタイプ/下=フィックスタイプ
費用(目安):保険適用治療。自己負担は約10万円程度(高額療養費制度の適用や負担割合により変動)
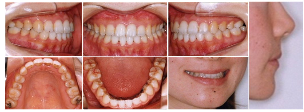
Before / After


矯正Before/After:保険適応のため10万円ほどで、見た目とお口の機能(噛み合わせ)も改善
症例コメント
上下の歯は抜かずに外科的矯正治療を行い、上顎を前方へ、下顎を後方へ移動することで口元と噛み合わせを同時に改善しました。術後は鼻下の輪郭が大きく整い、患者さまは「自信が持てるようになった」「前向きになれた」と大変満足されました。長期安定のため、保定とメンテナンスも継続しています。
症例5:上下のがたつきをインビザラインで非抜歯改善
主訴:上下の歯並びのガタガタが気になる
診断名:上下顎叢生
症状:上下顎叢生
患者プロフィール:北九州市・小倉北区 30代女性
治療方針:非抜歯治療
治療装置:マウスピース型矯正治療(インビザライン)
抜歯:なし
治療期間:1年半
通院回数:30回
リテーナー:上顎=プレートタイプ/下顎=フィックスタイプ
治療費用(総額・税込):検査診断料(¥20,000)+装置料金(¥500,000)+管理調整料(¥150,000)+装置撤去時診断料(¥10,000)+保定装置料金(¥20,000)=¥700,000(税込)
リスク・副作用:痛み、治療後の後戻り、歯根吸収、歯髄壊死
Before / After
-

矯正Before/After:マウスピース型矯正で1年半。食事時は取り外せるため日常生活の負担が少なく、見た目にも配慮しながら整列できました
症例コメント
歯並びのデコボコが気になって来院されました。インビザライン(マウスピース矯正)を選択し、非抜歯で計画。取り外して食事や歯みがきができるため清潔を保ちやすく、痛みも大きくは感じなかったとのご感想でした。予定どおり1年半で美しい口元が完成し、現在はリテーナーで後戻りを予防しています。
ここまで当院の症例を多岐にわたり紹介しました。ここから治療の流れについてご説明いたします。
治療の進め方:初診から保定まで
- 初診カウンセリング(気になる点の整理/ご希望の共有)
- 精密検査(口腔内スキャン、写真、X線、セファロ分析)
- 治療計画のご提案(装置・期間・費用・リスクを丁寧に説明)
- 装置装着~通院(プラークコントロール・むし歯/歯周病予防も並行)
- 装置撤去~保定(リテーナー管理。後戻り予防の生活指導)
キーポイント:矯正は「外すまで」ではなく外してからが大事。保定計画とメンテナンスで長く美しい歯並びを守ります。

よくある質問(北九州市の皆さまから)
Q1. 北九州市で矯正を始めるベストタイミングは?
A. 成長期の骨格誘導が必要な場合は早めの相談がおすすめ。成人矯正は何歳からでも可能ですが、歯周組織の健康確認が重要です。
Q2. マウスピース矯正とワイヤー矯正、どちらが良い?
A. 叢生量・骨格・生活スタイルで適応が異なります。当院では装置の特徴を中立的に比較し、結果の安定しやすい方法をご提案します。

Q3. 費用はどのくらい? 医療費控除は?
A. 症状と装置で異なります。初診時に総額の目安と分割例をご説明。多くのケースで医療費控除の対象になります。こちらのブログで費用について、徹底解説しておりますのでご覧ください。

Q4. 痛みや通院の負担が心配です。
A. 痛みは数日で落ち着くことが多いです。通院は4~8週ごと。小倉北区の通いやすい立地で、学校・お仕事帰りにも配慮します。
Q5. 後戻りはしますか?
A. 適切な保定を行えばリスクは抑えられます。生活習慣や舌癖の改善もサポートします。

医療法人ヤマヂ歯科・矯正歯科クリニックのこだわり
- エビデンスベース:学会発表・教育活動を通じて最新知見を臨床へ。
- 見える化:治療前後の比較写真・セファロ重ね合わせ・経時変化を共有。
- 多種連携:歯周病・補綴・外科の専門性を院内外で連携し、総合的に診る。
- 衛生管理:院内感染対策・滅菌の徹底。
- 通いやすさ:駐車場のご案内、近隣ランドマークからのアクセスを丁寧にご説明。
- (マウスピース矯正のページ)
- (表側/裏側矯正のページ)
- (外科矯正の詳細)
料金とお支払い例(目安)
- 部分矯正:¥220,000〜(税別)+管理調整料
- 全顎矯正(表側/セラミック):¥420,000〜(税別)+管理調整料
- 外科矯正(術前術後矯正):個別見積もり
- 保定装置:リテーナー各種(マウスピース/固定式)
初診時に総額の目安と分割例を提示し、医療費控除の可否もご説明します。
北九州市・小倉北区で矯正を検討中の方へ(医院選びのチェックポイント)
- 認定医・臨床指導医の有無
- セファロ分析・3D計画の標準化
- 非抜歯/抜歯の判断根拠の明示
- 料金の透明性とアフターケア
- 通いやすさ(小倉北区中井エリア・駐車場15台・診療時間)
2025年現在、矯正治療にはマウスピース矯正(インビザライン)、全顎/部分矯正、表側/裏側矯正、そして外科的矯正まで、患者さまに合わせた多彩な選択肢があります。
当院では、認定医が一人ひとりの骨格・歯並び・ライフスタイルに合わせたオーダーメイドの治療計画をご提案。インビザラインはもちろん、外科的対応が必要な難症例まで安心してお任せください。
アクセス(北九州市 小倉北区)
- お車でお越しの方
- JR小倉駅から車で約15分
- JR九工大前駅から車で約10分以内
- 境川公園のとなりで、はじめての方も迷いにくい立地です。
- 敷地内に専用駐車場15台あり。
公共交通機関でお越しの方
- JRご利用の方は「小倉駅」「九工大前駅」からタクシーまたはバスをご利用ください。

まずはご相談ください
- Line予約/お電話(093-591-8211 ゴクイ ハニイイ)でカンタン予約
- 来院前にLINEで相談(写真添付OK)
- セカンドオピニオンも歓迎です
- ライン予約
- インスタグラムも始めました。

- 北九州市小倉北区の歯医者・医療法人ヤマヂ歯科矯正歯科クリニックでは、日本矯正歯科学会の認定医と臨床指導医が在籍し難しい矯正治療の患者さんでも多くの治療を行ってきた実績があります。特徴
- マウスピース矯正装置と裏側矯正に自信
- 「選べる」治療法/矯正装置
- 決断しやすい「治療費」
- 開業から「40 年」の信頼と実績
- 矯正の「専門書」を出版
- 「噛み合わせ」を同時に改善
- 「保険適用」の矯正治療(顎変形症・口唇口蓋裂等)
- 「ライフステージ」に合わせた矯正治療
- 「家族で」矯正治療を受けられます
これらの特徴を活かして、患者さんが安心して治療を受けられる環境を提供しています。
無料相談をお受けしておりますので気になる方は24時間ネット予約にてご予約を取られてください。
歯科病院の予約ページ
山地 晃二郎
医療法人ヤマヂ歯科・矯正歯科クリニック 院長
住所 福岡県北九州市小倉北区中井5-4-26
経歴
平成19年 明治学園高校卒業
平成25年 福岡歯科大学卒業
平成30年 九州歯科大学矯正学講座 博士課程修了 歯学博士 ヤマヂ歯科クリニック勤務
平成31年 日本矯正歯科学会認定位取得
令和3年 医療法人ヤマヂ歯科・矯正歯科クリニック 院長就任
厚生労働省 歯科医師臨床研修指導歯科医 認定
令和4年 全顎矯正と部分矯正へのアプローチ 出版
令和5年 グリーンズオーソ 「歯科矯正用アンカースクリューの活用方法」 講演
日本国際歯科大会 「開咬症例に対してインプラント治療と矯正歯科治療を応用した一症例」 講演
令和7年 オステムインプラント 2Day GUIDE BASICセミナー 講師
研修医のための矯正実習セミナー 講師
詳しい経歴はこちら



コメント