部分矯正
「短期間」「低価格」で
出っ歯、すきっ歯
の治療が可能
- 「3ヵ月~1年以内」に
治療が終了 - 目立ちにくい
「マウスピース型矯正装置」
にも対応 - 「気になる部分だけ」治療可能
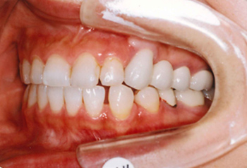
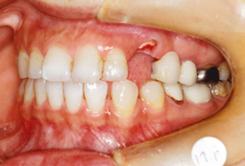
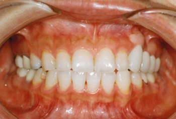
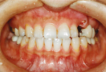
主訴:上顎左側3番を残して欲しい
診断名:上顎左側3番歯肉カリエスにより挺出を行い、上顎左側③4⑤⑥番ブリッジを装着
症状:歯ぎしりがある
患者プロフィール:北九州市小倉北区30代女性
治療方針:上顎左側3番歯肉縁下カリエスにより挺出を行い、上顎左側③4⑤⑥番ブリッジを装着する
治療装置:白い表側矯正装置(マルチブラケット)
抜歯:非抜歯
治療期間:約6か月
説明したリスク副作用:痛み・治療後の後戻り・歯根吸収・歯髄壊死など
北九州市小倉北区にある医療法人ヤマヂ歯科・矯正歯科クリニックでは、日本矯正歯科学会認定医が大人の部分矯正の専門的な歯科治療を提供しています。前歯の隙間や歯並びの乱れなど、気になる部分だけを低価格で矯正することが可能です。目立ちにくいマウスピース型矯正装置にも対応しておりますので、矯正装置の見た目が気になる方も安心して治療を受けていただけます。無料相談も実施しておりますので、お気軽にお問い合わせください。
矯正「担当医」のご紹介
九州歯科大学の矯正科を卒業、矯正治療に関して40年の経験がある歯科医師が在籍しています。
当院の院長と理事長は九州歯科大学の矯正科で学位を取得し、矯正治療を長年行ってきたことから自信をもって矯正治療を提供しています。
山地 晃二郎 院長
所属学会
- 日本矯正歯科学会 認定医
- 九州矯正歯科学会
- 日本顎変形症学会
- 日本口蓋裂学会
- 日本咬合学会
→詳しい経歴はこちら
山地 正樹 理事長
所属学会
- 日本矯正歯科学会 認定医 臨床指導医
- AAO(アメリカ矯正学会)会員
- 咬合機能研究会会長
- 北九州デンタルリサーチ会長
- 日本咬合学会常任理事
- 日本審美医科協会会員・日本顎咬合学会評議会指導医
- 米国歯周病学会AAP
- 日本歯周病学会
- 日歯補綴歯科学会・日本口蓋裂学会・九州矯正歯科学会
- ESK・KDR
- 厚生労働省臨床研修指導歯科医
→詳しい経歴はこちら
「前歯の部分矯正」~気になる部分だけ治療したい方向け
「前歯に少し隙間がある」「八重歯を引っ込めたい」など、
部分的に歯並びが気になる方は、「部分矯正」で対応できるかもしれません。
動かす歯が少ないので、「短期間」「低価格」で行える場合が多いです。
歯並びの状態によっては対応できないケースもあります。
まずはお気軽にご相談ください。
ここからは具体的なメリットをご紹介します。
メリット1「低価格」で治療が可能
部分的な矯正ですので、通常の矯正治療よりも、価格は大幅に抑えられます。
メリット2「目立ちにくい」装置を利用できます
以前は矯正治療といえば、「金属が目立つ」ものでした。しかし、当院では、透明で目立ちにくい「マウスピース型矯正装置」を使用しています。周りの人に分からないような目立ちにくい矯正となっています。
メリット3気になるところをピンポイントで治療可能
患者さんのご希望により、「前歯2本」だけ、「すきっ歯」の部分だけ、「下の歯」だけなど柔軟に対応いたします。
メリット4全体の矯正より「治療期間が短期間」
部分矯正は全体矯正よりも治療期間が短くなります。部分矯正は症状が軽く、比較的動かしやすい「前歯部分」ですので、歯の移動が少ないです。そのため、全体矯正では歯を動かすだけでも通常2~2年半ほどかかりますが、部分矯正では「3ヶ月~12カ月」で治療が完了できる場合が多いです。結婚式や就職活動など、大切なイベントを予定されている方にも大変好評となっています。
メリット5痛みが少ない
「歯」は歯肉の中に「歯根」という歯の根っこが埋まっています。「全体矯正」では前歯よりも根がしっかり根付いている奥歯も動かすため、痛みが出やすい傾向があります。しかし、「部分矯正」では主に前歯のみで動かす歯が少ないため、痛みが少なく済むことが多いです。
部分矯正の目的
次に、なぜ部分矯正を行うのか?ご存じない方も多いのですが、歯並びを治す以外にも部分矯正治療は行われます。「部分矯正」の目的について整理してお伝えします。
部分矯正の目的
目的1歯並びを改善するため
こんな方におススメです!
- 「前歯」だけの気になる部分だけ治したい方
- できるだけ「短期間」「低価格」で矯正したい方
- 歯並びの凹凸が少ない方
- 一度、矯正を行い「後戻り」が気になる方
適していない方はこんな方です
- 根本的に「歯並び」「噛み合わせ」を治したい方
- 歯の凹凸が激しい方
- 歯をきれいに並べるスペースが足りない方
- Eラインや骨格を治したい方
目的2虫歯・歯を残すため
目的2は具体的に細かく分けると以下のようになります。
目的2-1「歯の近心移動」
抜歯しないといけなくなった場合、隣の歯を「矯正治療」で引っ張って移動させ、抜歯によってできた「すき間」を埋める。
目的2-2「エクストリュージョン」
虫歯で大きく歯質がなくなった時、歯を残すために引っ張り上げる。
虫歯や歯の割れによって、残っている歯が歯肉の中に埋まってしまっている状態の時、被せ物をするのに十分な位置まで、強制的に歯の根を引っ張り出す治療です。歯科医師の教科書的には、歯肉に埋まっていたり、虫歯が歯肉より深い位置に入ってしまっている歯は抜歯することになっていますが、この方法により抜歯せずに歯を残す治療法の一つです。
歯の被せ物を外れにくく、十分な強度にするためには、歯肉の外に出ている健康な歯の高さが最低1mm、可能なら2mm以上必要です。ここが不十分な状態で被せ物をすると、すぐに取れてしまったり、長期的に見ると、歯根に過度の負担がかかり、抜歯が必要な歯根破折につながったりします。
エクストリュージョンのメリット・デメリットをお伝えしておきます。
メリット
- 歯を抜かないで済む
- 歯肉の下の虫歯にも対応できる
- 一般の矯正に比べて低価格
デメリット
- 噛み合わせの改善が難しい
- 挺出(引っ張りだすこと)により、歯根に埋まっている部分が少なくなり(歯自体の支えの部分が少なくなるため)長期的には健康な天然歯より寿命が短くなる傾向がある
- 一般の矯正に比べると自由度は低い
エクストリュージョンQ&A
- 治療中、見た目はどうなりますか?
- 仮歯を装着するため、よく見ないと分かりません。硬いものを噛んだり、気になって指や舌で触るのはNGです。
- 痛みはありますか?
- ゴムによる弱い力で動かすため、エクストリュージョン自体の痛みは感じにくいですが、敏感な方は気になることもあります。また根管治療中には痛みを感じることがあります。
- 治療を受けられないケースはありますか?
- 下記のケースは治療が困難な場合があります。
- 長時間の炎症により、歯と骨が固くくっついている(骨性癒着)場合には、十分な歯の移動が望めない為、不適応となります。
- 明らかな歯根破折(歯の根っこが割れてしまっている状態)の場合は、適応できないことがあります。
- 歯周病がかなり進行している場合
目的2-3「セパレート」
虫歯で被せ物をする時、隣の歯が近接している場合に「隙間」をつくる
目的2-4「アップライト」
倒れている歯を起こし上げて長持ちするようにする
矯正治療の流れ
STEP1カウンセリング(約1時間)
まず「問診票」を記入いただき、お口の写真を撮り、専門のカウンセラーが詳細にヒアリングを行います。ドクターが口の中をチェックした後、「治療方針」に関して動画と写真を用いて概要を説明します。続いて、「精密検査・装置・料金」について、専門のカウンセラーから説明があります。もし気になる点やお悩みがあれば、お気軽にご相談ください。
STEP2精密検査(約1時間)
より詳細に患者さんの状態を把握するため、写真・レントゲン・歯の型取りを行います。
STEP3説明(約1時間)
精密検査の結果報告を院長より説明します。現在の「歯並び・噛み合わせの状況」、今後の治療計画などを実際の患者さんの「お口の模型」や「レントゲン写真」「口腔内写真」等をご覧いただきながら、さらに詳しいご説明をいたします。
STEP4矯正装置セット(約45分~)
「矯正装置」をセットし、いよいよ矯正スタートです。上下の歯すべてにセットできましたら、装置にもよりますが、およそ3~4週間でご来院いただき、治療を進めていきます。美しい歯並びと良い噛み合わせを目指して一緒に頑張りましょう。
ブラケット(唇側)
大きな虫歯や歯周病などがあれば先に治療を行います。小さな虫歯や抜歯が必要な場合は同時並行で治療を進めます。歯のクリーニングを行った後、「ブラケット装着」→「ワイヤーセット」になります。
マウスピース矯正の場合
大きな虫歯や歯周病などがあれば先に治療を行います。患者さんの歯並び・お口の中の状況を「専用のスキャニング・マシン」で読み取る、もしくは「型取り」を行い、その資料を製作会社に送ります。治療完了までの治療経過をドクターが考え、装置の製作に入ります。装置が出来上がるまで約1カ月ほどかかります。
詳しくはこちら
STEP5矯正装置セット(約45分~)
ブラケット(唇側・舌側)
矯正器具を調整します。ワイヤーを外して、クリーニングを行い、ワイヤーを調整し、ワイヤーを戻します。必要に応じて「虫歯の進行」を予防するジェルを塗ります。
マウスピース矯正の場合
マウスピースの適合を確認します。問題がなければクリーニングを行い、必要に応じて「虫歯の進行」を予防するジェルを塗ります。
STEP6保定
矯正器具を外した直後は、歯は矯正開始前の状態に戻ろうとしています。そのことを「後戻り」と呼びます。矯正治療後の後戻りを防ぎ、目的の位置に移動させた歯を保持安定させることを「保定」と言います。2~3年後には骨が固まり、安定してきます。
※部分矯正治療を行った目的によって「保定期間」は異なります。
期間を短縮する方法
- ①できるだけ早く歯並びを治したい
- ②矯正治療の痛みが心配
- ③矯正装置をなるべく早くはずしたい
- ④結婚式や入学式など特別な日までにきれいな口元になりたい
- ⑤忙しいので治療期間を最短で終わらせたい
- ⑥矯正を早く終えたいけど、外科的処置には抵抗がある
これらの希望がある方には、治療期間を短縮する方法をご案内しております。
以下に説明します。
PBMヒーリング

別途費用がかかります。
メリット
- 矯正の治療期間を最大半分に短縮できる。(マウスピース交換期間は1週間から10日ほどですが、光加速装置を使用することで最短3日で交換が可能になる)
- 矯正治療による痛みを軽減。
- 自宅で簡単に使用できる。(テレビや本を読んでいる間で装置を使用可能)
- マウスピースを清潔に保ちやすい(マウスピースの交換時期が早くなるので、その分マウスピースをきれいな状態で保ちやすい)
デメリット
- 健康保険適応外の治療(歯科矯正は基本的に保険適応外の治療になる)
- 継続的な使用が必要
- 効果が認められないことがある
振動加速装置

別途費用がかかります。
メリット
- 治療期間の短縮(患者様によって個人差がありますが、マウスピース矯正装置は通常7日でアライナーを交換のところ、振動加速矯正装置を使用すれば最短5日交換が可能になる・ワイヤー矯正の場合は、通常1か月ごとの通院間隔を3週間にすることが可能になり、治療期間の短縮につながる)
- 痛みの軽減(歯全体に振動を与えることで細胞を刺激し、歯列矯正に伴う痛みなどの不快感が軽減される)
- より精密な治療が可能に(同じ治療期間に通常より多くアライナーを使用できるので矯正治療の精度が高まる)
デメリット
- 上手く使えるか(加速装置は患者様ご自身で使うものなので、慣れていないと装置をうまく使えるかわからない)
- 安全性の問題(日本では薬事法で認可されていない医療器具なので、予想外のトラブルがあったときにリカバーできるのかという面が気になる方もいる)
- より精密な治療が可能に(同じ治療期間に通常より多くアライナーを使用できるので矯正治療の精度が高まる)
- 料金がかかる
- 継続的な使用が必要
- 効果が認められないことがある
コルチコトミー

別途費用がかかります。
コルチコトミー矯正のエビデンス(科学的根拠)についてはこちら
メリット
- 歯が早く動くため、矯正治療期間を短縮できる。(抜歯を伴う矯正治療であれば2~3年のところ、外科処置を伴う矯正治療は、1年~1年6か月になる。)
- 歯肉や歯槽骨を増大できる。
- 歯が動く範囲を増やせる。
デメリット
- 外科処置が必要、それによる痛みがある。腫れるオペが2~3回ほど必要。
- 料金がかかる。
- 2~3日腫れて、(術後1週間程度)に顔に青あざができるが2~3週間後に消失する。
- 歯肉に傷跡ができる。
- こちらの指示に従わないと短期間で治らない。(硬いものを食べない、10日~2週間に一度の来院)
- 30~50代の方は1年以上期間がかかる可能性がある。
初診「個別」相談へのご案内
当院では、患者さんが抱えていらっしゃるお口のお悩みや疑問・不安などにお応えする機会を設けております。どんなことでも構いませんので、私たちにお話ししていただけたらと思います。
ご興味がある方は下記からお問い合わせください。