保険適用の
「再生療法」にも対応
~日本歯周病学会
「専門医」も在籍~

- 「歯周病菌」に直接アプローチ
- 「短期集中治療」に対応
- 溶けたあごの骨を元通りにする
「歯周再生療法」 - 「歯周外科治療」で
奥底の歯石も取り除く
再発を防ぎ、最後の最後まで
抜歯を回避することにこだわります。


再発を防ぎ、最後の最後まで
抜歯を回避することにこだわります。

当院のドクター・山地正樹は、「日本歯周病学会 専門医」の資格を持っています。この資格を取得するには、数多くの症例を経験しているだけでなく、一定の試験などを通過する必要があります。


このホームページを今ご覧になっている方は、きっと歯周病でお悩みで、解決の糸口を探してここにたどり着いたのだと思います。
歯周病でお悩みの方から、このようなお話をよく伺います。
いったい、どうしてこうなってしまったのでしょう。
主に2つの原因が考えられます。

歯周病は、「生活習慣病」です。歯科医院で治療するだけではなく、ご自宅でのケアや生活習慣の改善が必要となります。これらができていないと、常に歯周病のリスクがある環境で生活していることになります。

歯科医院での治療に原因があるケースです。
そもそも歯周病は、歯周病菌を原因とする感染症です。原因となる菌に対してアプローチしていかないと、治すことはできません。
しかしながら、歯周病の治療といえば歯石や歯垢の除去に終始している歯科医院が多いです。確かにこれらも大切ですが、十分ではありません。
治療しても再発してしまう方、何本も歯を失ってしまった方は、このどちらか、あるいは両方に問題があることが大半です。
当院ではセカンドオピニオンにも対応しておりますので、お悩みの方はお気軽にご相談ください。

大切なのは的確な診断です。ここで誤ると、治せるものも治せません。
その後、お口の状態に合わせて最適な治療方法を提案いたします。
当院の診断方法と、治療についてご紹介します。

噛み合わせが原因で歯や歯茎がダメージを受ける「咬合性外傷」という病気があります。この症状が、歯周病によく似ています。咬合性外傷と歯周病の治療法はまったく異なるため、最初の段階でしっかり検査して、原因を特定します。

歯周ポケットの深さを測定し、歯周病の進み具合を確認します。

CTやレントゲンで、あごの骨の状態を確認します。歯周病は、あごの骨を溶かす病気です。CTやレントゲンを使わないと、症状の進み具合がわかりません。

歯周病を引き起こす菌にはさまざまな種類があります。菌によって有効な治療法が異なるので、原因となっている菌はどれなのかを特定する必要があります。
当院では、「位相差顕微鏡」で、生きたままの細菌を観察します。歯周病を引き起こしている原因菌を正確に特定します。

お口の中の唾液を検査することで、原因菌を検出できるほか、患者さんひとりひとりのデータが得られます。歯周病や虫歯にどのくらいなりやすいのかなどのリスクを判定することもできます。
これらの検査を通して正確な状況を把握し、適切な治療計画を提案いたします。
歯周病は、細菌による感染症です。細菌の塊ともいえる歯垢や歯石を取り除くのが治療の基本でありますが、これだけでは不十分です。次のような方法で、目には見えない細菌を直接叩き、治療効果を高めていきます。

歯周病菌を殺菌する「ジスロマック」という薬品を内服していただきます。抗生物質の一種ですので、風邪をひいたときに風邪薬を飲むようなイメージに近いですね。

当院には、「FotoSan630」というレーザー治療器を備えています。歯周ポケットに特殊な薬剤を注入し、レーザーの光を照射することで殺菌します。
レーザーの光には、強い殺菌効果があります。次の写真をご覧ください。レーザーを照査する前後の、お口の中の細菌数の違いです。



除菌剤を入れたマウスピースをお口にはめていただくことで、原因菌をじっくりと除菌していきます。

お口の中には何兆もの細菌が住み着いており、善玉菌と悪玉菌が常に勢力を争いをしています。勢力のバランスが崩れて悪玉菌が増えると、歯周病になりやすくなります。
プロバイオティクス療法は、この勢力バランスを整えて、悪玉菌の増殖を抑える治療法です。

一般的な歯周病治療は、お口の中を6つの区域(ブロック)に分けて、ブロックをひとつひとつ処置していきます。しかし、歯周病菌は2週間ほどで再び増殖してしまいます。このため、処置を済ませたブロックが、再び歯周病菌に侵されてしまうことがあります。
FMDは抗生剤を併用した治療法で、数回の処置で歯周病菌を徹底的に駆除する治療法です。短期間で、効果を最大限に引き上げた治療方法といえるでしょう。
治療は自費診療となりますが、短期間で集中して歯周病を治したい方にお勧めします。
歯周病が進行すると、あごの骨を溶かします。歯を支えている骨が溶けることで、歯がグラグラしてきます。症状がここまで進むと「抜歯」を宣告されることが多いのですが、当院では「歯周組織再生療法」という治療で、あごの骨の再生を目指します。骨が再生すれば、抜歯は必要ありません。
(以下の治療法は、症例によっては適用できないことがあります)

人工骨またはご自身の骨を、あごの骨が失われた部分に移植する治療法です。
ご自身の骨を使う場合は、治療する歯の周囲から骨を採取します。
エムドゲインは、あごの骨が失われた部分に特殊な薬剤を塗ることで、骨の再生を促す治療法です。個人差はありますが、数ヶ月~1年程度で骨は再生します。


PRGFは、患者さんご自身の血液から作成したゲルを、あごの骨の失われた部分に埋め込む治療法です。ゲルの中に含まれる「成長因子」という成分が、骨の再生を促進します。

リグロスは、骨の細胞の増殖を促す薬剤です。保険が適用されるため、患者さんのご負担も小さくなります。
歯周病が進行すると、治療器具が奥まで届かないほど歯周ポケットが深くなることがあります。こうなると、通常の方法では歯周ポケットの奥の歯石を取り除くことができません。
このような場合では、外科的に歯肉を切り開いて歯石などの汚れを取り除く「歯周外科治療」が有効です。
FOP法は、歯茎を切開して奥深くの歯石を取り除く治療法で、歯周ポケットが深くなりすぎた症例で実施します。直接目で見ながら歯石を取り除けるので、ほとんど取り残しがありません。


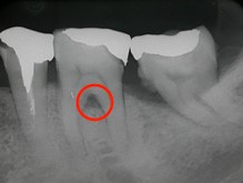
歯周病が進行して、歯の根元にまで炎症が広がることがあります。
右の写真をご覧ください。赤丸で囲んだ部分が黒くなっています。ここは、歯茎が衰え歯と歯茎の間にできたすき間です。ここに付着した歯石は取り除くことができず、そのまま放置すると歯周病が進行して、やがて抜歯となってしまいます。
ルートセパレーションは、歯を2~3個に分割して、歯石を清掃しやすい状態にする治療法です。最終的には分割した歯にかぶせ物をして、見た目や機能性も回復させます。

「歯周病を治す」ということは、目の前の症状を一時的に改善することではありません。患者さんのお口の状況を改善し、その状態をずっと維持していただいて、初めて「治った」といえます。
私たちはそのための努力を惜しみません。ただし、患者さんの協力が不可欠です。 そのためには、ご自宅でも毎日の歯みがきをはじめとするお口のケアや、治療後も定期的に歯科医院でお口のメンテナンスを続けていただく必要があります。
歯周病は「生活習慣病」です。歯科医院でいくら治療をしても、歯周病を引き起こした生活習慣を改善することができなければ、再発の危険性は残ります。
全身の健康を守るためにも、「また悪くなったら、その時にまた治療すればいい」という考えは捨ててください。
お口のケアをしっかり続けて、歯周病を根治させましょう。
当院では、患者さんが抱えていらっしゃるお口のお悩みや疑問・不安などにお応えする機会を設けております。どんなことでも構いませんので、私たちにお話ししていただけたらと思います。
ご興味がある方は下記からお問い合わせください。
