「芸能人」のような
白い歯をあなたへ
- 口元の「美」を創造します
- 目立つ銀歯を白くできます

歯を白くする方法は、大きく分けて2つあります。
それぞれ、次のような特徴があります。

お好みの色や形を再現できる他、長期間にわたって色が保たれるというメリットがあります。デメリットとしては、ご自身の歯を削る必要があります。
歯を削る必要がありません。ただし、歯の質やホワイトニングの回数によって白さの度合いは変わります。また、時間が経過すると白さが失われていきます。
治療法によってメリット/デメリットがあり、どちらが良いかは患者さんひとりひとりによって異なります。担当医と相談の上、治療方法を選択していただきます。
セラミックの詰め物やかぶせ物によって、次のようなことができます。
見た目の美しさが注目されますが、セラミックを用いた審美歯科治療は、それだけの治療ではありません。虫歯の再発を防ぎ、歯を守る治療でもあります。一般的な「銀歯」は、虫歯が再発しやすく、将来的には歯が失われてしまうリスクがあります。詳しくは、次のコラムをご覧ください。
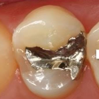
いわゆる「銀歯」の詰め物やかぶせ物は、保険が適用されるので多くの患者さんに利用されています。銀歯のデメリットというと、お口を開けるとギラギラと目立つことが挙げられますが、これだけではありません。
銀歯には、虫歯が再発しやすいという大きなデメリットがあります。銀歯は、時間が経過すると劣化します。銀歯と歯の接着剤も崩れていき、歯と詰め物の間にすき間ができます。ここに歯垢や細菌が溜まると歯ブラシも届かず、いずれ虫歯が再発します。
再発と治療を繰り返すうちに削るところもなくなってしまい、将来的には抜歯となってしまいます。
次の写真をご覧ください。いずれも、保険診療のかぶせ物の内側で虫歯が再発していた症例です。












こうした虫歯の再発を、「二次虫歯」といいます。セラミックの詰め物・かぶせ物で用いる接着材は、歯とぴったり一体化するので、すき間ができにくく、二次虫歯になる可能性も低いのです。

銀歯のかぶせ物は時間の経過とともに溶け出していき、金属アレルギーを引き起こすこともあります。金属アレルギーの症状は、全身の発疹、肩こり、口内炎などさまざまです。
また、お口の中でいろいろな種類の金属の詰め物・かぶせ物が隣接していると、「ガルバニー電流」と呼ばれる電気が発生し、神経の痛みを引き起こすこともあります。
金属を一切使わないセラミック治療なら、この心配もありません。


金属の詰め物を白い素材(CR)に
置き換えた症例。
リスクとしては、時間の経過とともに
CRが変色する可能性があります。
低価格で歯を白くできると人気の治療法が、「ダイレクトボンディング法(審美CR)」です。CR(コンポジットレジン)と呼ばれる白いゲル状の素材を歯に塗布し、紫外線で硬化させることで白い歯を作ります。
「予算はあまりないけど金属の詰め物はイヤ」「歯が欠けてしまった、低価格できれいにしたい」「銀歯を白い詰め物にしたい」というご要望にお応えしています。
セラミックと比べると、「歯を削る量が少ない」「低価格」「1回で治療が終わる」などのメリットがありますが、長年使っていると次第に変色していくデメリットもあります。
「ホワイトニング」は、特殊な薬剤を用いて歯を白く美しくする治療法です。当院では、患者さんの多様なニーズにお応えするため、3種類のプランを用意しています。
ホワイトニング剤を入れたマウスピースをご自宅で装着し、歯を白くする方法です。マウスピースは、患者さんのお口に合わせ、歯科医院で作成します。

診療、歯の色の確認

専用マウスピース(薬品を入れるための装着具)を製作

歯のクリーニング
自宅での使用方法の説明

自宅にて、マウスピースを用いてホワイトニング
歯科医院で行う「オフィスホワイトニング」に比べて、白くなるまで時間がかかる上、白さの度合いも少し落ちます。しかし、白さが持続する期間が、オフィスホワイトニングよりも長いのが特徴です。


当院では、米国ウルトラデント社の「オパールエッセンス」というホワイトニング剤を使用しています。オパールエッセンスは、他社のホワイトニング剤と比べて薬剤ジェルがマウスピースから漏れにくく、使用中のお口の不快感が非常に少ないという特長があります。また、歯に優しい成分を使用しており、処置中の知覚過敏を起こしにくいのも利点です。
当院で実施したホワイトニング症例をご紹介します。


当院にて歯石の除去等を行ない、お口の中をキレイに清掃します。
ホワイトニングは、虫歯や歯周病のない状態で行います。虫歯があると、ホワイトニングの薬液が痛みを引き起こします。また、歯周病で歯茎から出血があると、薬液に血液が混じり、効果が出ません。
このため、初回は口腔内の検査や歯石除去などの清掃、カウンセリング、食事制限の説明などを行います。

歯型をとり、患者さんのお口に合ったマウスピースを作成します。

作成したマウスピースを一度合わせます。他に、薬剤の使い方や1日の使用時間などの説明を受けてから、ご自宅での処置を始めます。

ご自宅でマウスピースにホワイトニング剤を入れ、お口に装着します。1日2時間以内で、約2週間続けます(時間、回数は医師の指示に従ってください)。

1週間に一度来院して頂き、歯の状況やマウスピースが変型していないかチェックしていきます。
歯科医院にて施術を行います。通常は、1回の来院で処置が完了します。
高濃度の薬剤を使用するため、ホームホワイトニングと比べて短時間でより歯を白くできるのが特長です。ただし、ホームホワイトニングに比べると、白さの持続期間は短い傾向があります。


当院では、米国ウルトラデント社の「オパールエッセンス」というオフィスホワイトニング剤を使用しています。オパールエッセンスは、他社のホワイトニング剤と比べて使用中のお口の不快感が非常に少ないという特長があります。また、歯に優しい成分を使用しており、処置中の知覚過敏を起こしにくいのも利点です。
当院で実施したホワイトニング症例をご紹介します。
当院にて歯石の除去などを行ない、お口の中をキレイにします。

歯を白くする薬剤を塗り、施術開始となります。
歯の色を確認して終了です。

「プレミアムホームホワイトニング」とは、当院にて「オフィスホワイトニング」の処置を行った後、ご自宅で「ホームホワイトニング」をするプランです。
「短期間で白くなる」「歯の色をより白くできる」というオフィスホワイトニングのメリットと、「白さが長期間持続する」というホームホワイトニングの両方のメリットを合わせた手法です。

当院では、患者さんが抱えていらっしゃるお口のお悩みや疑問・不安などにお応えする機会を設けております。どんなことでも構いませんので、私たちにお話ししていただけたらと思います。
ご興味がある方は下記からお問い合わせください。
