患者さんの「ご負担」を
最小限に!
- 「1日」で歯が入るインプラント
- 寝て起きたらオペ終了
「睡眠無痛治療(静脈内鎮静法)」 - 「矯正治療」で
インプラントの本数を減少
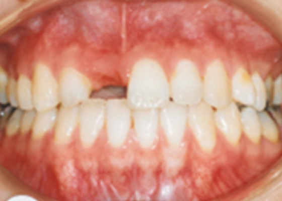
治療内容:前歯部分の欠損と歯を白くしたいという主訴に対してインプラント治療、セラミック治療を行った症例。
治療費:¥220,000~/1本+ハイブリッド冠¥55,000 診断料:¥22,000
副作用・リスク:インプラントオペによる一時的な炎症・出血や顔面の内出血、治療終了後のメンテナンス不足による歯周病やインププラント周囲炎、歯ぎしりや過剰な噛み締めによるセラミックスの破折。
治療内容:奥歯が噛めない、歯を白くしたいという主訴に対してインプラント治療、セラミック治療を行った症例。
治療費:¥220,000~/1本×2 ハイブリッド冠¥55,000×3 診断料:¥22,000
副作用・リスク:インプラントオペによる一時的な炎症・出血や顔面の内出血、治療終了後のメンテナンス不足による歯周病やインププラント周囲炎、歯ぎしりや過剰な噛み締めによるセラミックスの破折。
治療内容:奥歯が噛めない、歯を白くしたいという主訴に対して、インプラント治療、セラミック治療を行った症例。
治療費:¥220,000~/1本×2 ハイブリッド冠¥55,000×2 診断料:¥22,000
副作用・リスク:インプラントオペによる一時的な炎症・出血や顔面の内出血、治療終了後のメンテナンス不足による歯周病やインププラント周囲炎、歯ぎしりや過剰な噛み締めによるセラミックスの破折。
アクティリンクを導入しました
歯科用金属の表面にプラズマ処理を施す装置です。歯科補綴に使用される金属に対してこの処理を行うことで、接着性を向上させることができます。
「口腔内スキャナー」を導入
口腔内スキャナーとは、小型カメラで歯や歯茎など口の中を立体的に撮影し、精密なデジタルデータを作成できる装置です。従来の型取りの不快感がなくなり、治療の精度やスピードが向上します。
当院が行うインプラント治療の「4つの特徴」

北九州市小倉北区にある医療法人ヤマヂ歯科・矯正歯科クリニックでは、以下の最新のインプラント治療法を採用しています
1.抜歯即時荷重インプラント
抜歯時にインプラントを埋入し、歯がない期間をなくすことで、治療期間を短縮します。
2.睡眠無痛治療(静脈内鎮静法)
鎮静薬を用いて、眠っている間に手術を行い、痛みや不安を感じながら治療を受けていただけます。
3.矯正治療との併用
矯正治療を考えて、インプラントの期限を減らし、患者様のご負担を軽減します。
4.多様なインプラント治療法
複数本インプラントが必要な全体の治療が必要なケースにも対応可能です。
最新の設備と技術を大切にし、患者様に最適なインプラント治療をご提供してまいります。インプラント治療に関してお悩みやご不明な点がございましたらお気軽にご相談ください。
オペ当日に歯が入る「抜歯即時荷重」

「抜歯即時荷重」というインプラントの術式があります。
抜歯と同時にインプラントを埋入するので、歯がない期間がありません。
通常、インプラント治療では「抜歯」が必要と判断された場合、歯を抜いて、傷口が治って、骨が安定してから「インプラント」を埋入します。そのため、歯がない期間があり、治療期間も長く
なってしまいました。
それらの悩みを解決したのが「抜歯即時荷重」インプラントです。
メリット・デメリットは以下となります。
メリット
- 患者さんの負担が大きい「骨造成」が不要
- 歯茎を切ったり、めくったりしなくて済む
- 「治療期間」が半減、「来院回数」も減少
デメリット
- 「適応ケース」が限定される
- 「術者」の技術と経験に左右される
眠っている間にオペが終わる「睡眠無痛治療(静脈内鎮静法)」

当院では、眠っている間にインプラント治療が終わる「睡眠無痛治療(静脈内鎮静法)」を行っています。点滴で、鎮静薬を注入すると数分で眠ったような状態になります。
痛みや音、振動なども感じませんし、治療中の記憶もほとんどありません。気づいた時には、治療は終わっていたと患者さんはおっしゃいます。
当院は、「九州歯科大学」の麻酔科と協力して対応しています。重度の全身疾患のある方、多数のインプラントを埋入する方などにお勧めしています。
その他、以下の方にもお勧めしています。
- 「歯科恐怖症」の方
- 「嘔吐反射」が強い方
- 「ストレスなく」治療を終えたい方
- 「短期集中治療」を希望される方
笑気麻酔
また、当院では「笑気麻酔」を利用した治療も行っています。「笑気ガス」を吸入すると、ふんわりしたような落ち着いた気持ちになり、リラックスして治療を受けられます。

以下のような特徴があります。
- 弱い「鎮静作用」「催眠作用」「鎮痛作用」があり、寝ている間に処置が終わる
- 鎮静作用の発現と消失が「極めて速やか」
- 「呼吸器」や「循環器」などの臓器に影響がない
メリットとしては鎮静作用に加えて、鎮痛作用がありますので、インプラント治療で用いると、リラックスするとともに「痛み」も感じにくくなります。
特に「血圧」が高い方や「心疾患」がある方も安心して手術に臨むことができます。
「矯正治療」でインプラント治療の「回避」「本数」を減らせます

駄目になった歯を抜歯した「隙間」を矯正治療で歯を動かして埋めることができます。そのことにより、インプラントを避けたり、本数を減らせたりします。これは、「矯正治療」に高専門性を有する当院ならではの特徴となります。
但し、一番後ろの歯を失った場合や動かす歯の状態によっては、困難なこともあります。無料で相談を行っていますので、インプラント治療を行いたいけれども、本数は減らしたい等のご希望の方はお気軽にご相談ください。詳しくご説明いたします。
さらに詳しく知りたい方はこちら

多様な「インプラント治療法」
「オールオン4」や「インプラントオーバーデンチャー」など、複数本インプラントが必要な全体の治療が必要なケースも対応可能です。以下に説明します。
オールオン4

オールオン4は、片顎に4本のインプラントを埋め込み、その上に固定式の人工歯を取り付ける治療法です。
骨が少ない方でも対応できることが多く、治療期間が短く、手術当日に仮歯が入れられるため、治療中でも見た目や食事のストレスが少ないのが特徴です。
インプラントオーバーデンチャー

インプラントオーバーデンチャーは、埋入したインプラントに入れ歯を固定する治療法で、安定感があり、噛む力や装着感が向上します。
安心してインプラントをしていただくための「その他の特徴」
みなさんにお伝えしたい当院のインプラント体制をご紹介します。
ヒューマンエラーを最小限にする「コンピュータインプラント」

治療において人為的ミスを抑えるために、様々な精密機器を駆使しています。
CT装置
CTとは、立体的に画像を撮影できる装置です。
骨量や厚み、神経の位置まで正確に把握できます。
通常ですと「レントゲン」撮影を行いますが、平面的な画像ですので、治療部位の確認の正確さが欠ける面もありました。CTでは、多角度から治療部位が把握できますので、治療の精度が向上します。
シミュレーションソフト

CTで撮影後に、専用のシミュレーションソフトにデータを取り込みます。これにより、オペの順序、埋め込みの深さや角度などについて確認し、決定することができます。オペに関する様々なデータを取得できますので、よりオペの確実性や安全性が高まります。
ガイデッドサージェリー
ガイデッドサージェリーというマウスピース型の器具を使用することで、インプラント手術の正確性が格段と上がります。
これは、CTとシミュレーションソフトで取得したデータをもとに作られます。インプラントを埋め込む位置や角度、深さを分かりやすく示してくれます。
オペ時間の短縮だけでなく、安全性、正確性が向上しますので、患者さんの肉体的、精神的負担を減らすことにも寄与します。
コラムCO2レーザーの
インプラント治療への応用
「CO2レーザー」をインプラント治療に導入することで、手術時における高い「止血効果」が期待できます。同時に、消毒作用や組織の回復を促進させる効果もあるとされています。また、手術時の痛みを和らげる効果も高いとされ、CO2レーザーによる治療を「無痛治療」と謳っている歯科医院もあるほどです。
当院ではCO2レーザーを使用して、手術後に疼痛緩和の目的でレーザーを照射します。
インプラント「オペ時」に使用する場合
オペ時に必要に応じてレーザーによる切開を行います。特にCO2レーザーは切開と同時に表面を熱凝固させていくので、出血が少なく、凝固した層による被膜が術後の感染防止に有利に働きます。また、レーザー光による「熱殺菌効果」で、処置を行った部分を清潔にすることができます。レーザーの遠赤外線効果により、毛細血管・組織を活性化させ、傷の治癒を早める効果もあります。
インプラント術後・メンテナンス時に使用する場合
インプラント術後の抜歯時や2次オペの際などにレーザー照射によってタンパク質を変性させることで、消炎・鎮痛効果が期待できます。CO2レーザーによって軟組織のマネジメントにも適しており、インプラント周囲の軟組織が炎症を起こさないようにする予防・メンテナンスの効果も利点の一つです。長期的に良好な状態を保つために、「歯科用レーザー」を用いたインプラントのメンテナンスで力を発揮すると言えます。
※レーザーは、医学分野では「光学治療」と呼ばれ、患部の切開・蒸散・滅菌にとどまらず、悪性腫瘍の治療、網膜の再生治療、皮膚の再生治療など、新たな治療法で担う役割の研究も進められています。歯科の分野においても研究が活かされ、治療ツールとして使えるレーザーの種類が豊富になってきています。
信頼と実績のあるメーカー「インプラント」
インプラントは国内、世界で実に様々なメーカーがあります。それぞれ特徴が異なり、玉石混交です。どのメーカーのインプラントを使用するかで予後が異なります。当院が採用しているのは下記の2社のインプラントです。
「オステム」インプラントシステム
世界の70以上の国々で使用されているインプラントメーカーです。
アメリカの食品医薬品局(FDA)やヨーロッパの品質認証(CE)などを獲得しています。品質の高さや実績、安全性は世界中のドクターから評価されています。
「京セラ」インプラントシステム
1978年、日本で初めて歯科インプラントを提供したのが「京セラ」です。国産で最も歴史のあるメーカーとしての信頼と実績があります。
アジア人の骨格に合わせて開発されたという特徴があります。
※当院のインプラントを行って、5年以内にインプラントに不具合が生じた場合は、保証いたします。
「骨が少ない」ことでインプラントを断られた方へ

インプラントを埋入する部分に「骨が少ない」と、インプラントは埋入できません。その場合、治療を断られるケースもあります。当院では「骨造成」といって骨をつくる手術を行って、対応いたします。
具体的には、人工骨を移植する「GBR法」や上あごの奥歯の骨を再生する「サイナスリフト」「ソケットリフト」があります。
また、「CGF」という骨をつくる治療法も行っています。
これは、患者さんから採取した血液を「遠心分離機」にかけて、「フィブリン」というタンパク質の接着剤のようなものを作製、
それを骨のない場所に入れて、骨を再生する治療法です。
添加物を一切使用しないため、他の「骨補填剤」と違って、骨組織、歯周組織の再生力が高く、短期間で組織が完成します。尚且つ、自分の細胞を使うため術後の感染などの心配がありません。
これらの術式は、難易度の高いもので全ての歯科医院で対応できるものではありません。インプラント治療をご希望なのに断られてお困りの方はぜひ当院に一度ご相談ください。
大学病院や内科医院との強い連携
当院の特徴として、大学病院や内科医院などの「高次医療機関」との強い連携があります。
治療前後のバックアップ体制が充実しています。内科的な疾患があり、手術を行うのが不安な方でも安心して治療に臨むことができます。
「アフターフォロー」の充実

インプラントも、天然歯のように「歯周病」のような病気になります。「インプラント周囲炎」と言います。
そのため、治療後のメンテナンスがとても大切になります。当院が実践しているメンテナンスについて、ご紹介します。
高い殺菌効果をもつ、光殺菌療法「フォトサンブルー」
当院では、「フォトサンブルー」という光殺菌装置を使った「光殺菌(LAD)治療」を行っています。光殺菌(LAD)治療とは、細菌に感染した歯や歯肉に「光感受性ジェル」を注入し、特殊な光を照射することで、活性酸素を発生させ、健康な歯や歯肉を取り戻す治療法です。細菌が引き起こす治療に有効です。
以下の特徴があります。
- 全ての殺菌に強い効果が期待できる
- 痛みがほとんどない
- 副作用が少なく、繰り返して治療に利用できる
- 抗生物質を使わないため、耐性菌が発生しない
※「光過敏症」の方はご利用いただけません
この治療法は、通常の治療の上に行う「とどめの一撃」としての殺菌効果が期待されます。これまでの治療法では除去しきれない細菌を死滅させ、感染の再発防止に大きく貢献します。また、予防治療としても効果的で、「歯周病」や「インプラントの定期検診」、「矯正治療中のメンテナンス」にその効果が発揮されます。
当院には、メンテナンスそして歯周病治療のプロである「歯科衛生士」が、ご希望の方には患者さんごとに決まった担当が付く「担当制」を採用しています。

担当制にすることで、患者さんのお口の状態を的確に把握でき、悪くなりそうなときはすぐに適切な処置ができる他、患者さんの生活スタイルに合わせて、様々なアドバイスが可能になります。
インプラント治療を決定するポイント

歯が無くなった時、入れ歯やブリッジ、移植、矯正治療の応用などインプラント以外にもいくつかの選択肢があります。当院では可能な限り、インプラント以外の選択肢もご提案いたします。しかし、インプラントがベストな治療法である患者さんもいらっしゃいます。そして、インプラント治療は保険が効かないため、迷われる患者さんもいらっしゃいます。そんな患者さんのためにも、治療を決定するポイントをいくつか挙げてみました。
1.インプラントを行うことが可能なのか?
インプラント治療を行うには、患者さん側の要因と術者側の技量の問題で、インプラント治療ができないことがあります。例えば、インプラントが必要な箇所に骨がない患者さんでは「骨をつくる」手術ができない歯科医院でなければ治療は行えません。また前歯の治療などは美しく自然に治療を行うことが「技術的に」難しい患者さんもいらっしゃいます。
→骨造成 症例
2.治療目的の優先順位を決める
歯の治療を考える時に重要なことがいくつかあります。私たち歯科医師が考える最も重要なことは「優先順位」を決めることです。ご自身が希望することに順位をつけて、そこから治療法を考えることが必要です。
異なる治療目的の例として、以下があります。
- 違和感なく自然な歯にしたい→インプラントが最適
- 隣の歯や残っている歯を長持ちさせたい→インプラントが最適
- とにかく安い治療をしたい→ブリッジまたは入れ歯
- 歯がない箇所が多くても治療したい→インプラントまたは入れ歯
この目的を考えずに治療を選ぶと、自分が意図したものとは違った治療を選択してしまうことになります。
3.治療費を支払うことが可能な料金システムがあるか?
インプラント治療は高額になることが多いです。当院ではなるべく患者さんにインプラント治療とそれによる健康的な食生活を提供したいため、可能な限り、求めやすい価格でインプラント治療を行っています。
さらに、院内分割やデンタルローンなど様々なお支払い方法をお選びいただくことで、月々の負担を最小限にしております。
インプラント治療は、素晴らしい治療であると思っているからこそ、患者さんに値段で諦めてほしくないと思っています。
当院では、無料相談を行っています。
また、セカンドオピニオンにも対応していますので、是非、お話をさせてください。
さらに、インプラント体に関して5年間の保証期間が設けられています。
ガイドの使用

ガイドを使用することで手術時間の短縮も図れ、歯茎を切開せずにインプラントを埋入する「フラップレスインプラント手術」を行うことも可能です。
最後に:担当医からのメッセージ「インプラント治療への思い」

歯科医師として、可能な限り歯を削ったり抜いたりしたくはありません。
できるだけご自身の歯で生活して人生を過ごしていただきたいという考えを第一にして日々診療しております。当然ですが、歯というのは削ったり抜いたりするために生えてくるわけではありません。食べ物を噛み切っておいしく食事ができるようにしたり、お友達や知り合いと楽しく話したりして、快適な生活をするためにあるものです。
それが、虫歯や市種苗で歯が弱っていき「噛む力」を支えられなくなって、保存することが患者さんのメリットにならず、デメリットの方が多い場合に、やむなく削ったり抜歯となってしまいます。
「総義歯(総入れ歯)」になってしまった方は、ご自身の歯が28本しっかりと全部揃っている時と比べ、噛む力が20%しかないと言われています。また「咀嚼(食べ物をよく噛む)」というのは、脳への血流が飛躍的に増加し、「認知症」の予防になります。一度失った歯は元に戻りません。しかし現在はインプラント治療という“第2の天然歯”を得る方法があります。
私たちは、そういった不幸にも歯を失った方々に“第2の天然歯”を実感してもらい、健康な食生活を末永く行うことで「QOL(生活の質)」の向上を目指し、幸せな生活を歩んでいただきたいと思っております。そのため可能な限り患者さんが安心して治療に臨めるように院内環境を整え、安全にインプラント治療を行えるよう日々研鑽を積んでまいります。
インプラント治療で迷われている方、ぜひ一度ご相談ください。
初診「個別」相談へのご案内
当院では、患者さんが抱えていらっしゃるお口のお悩みや疑問・不安などにお応えする機会を設けております。どんなことでも構いませんので、私たちにお話ししていただけたらと思います。
ご興味がある方は下記からお問い合わせください。