「目立ちにくい」
マウスピース型矯正装置
インビザライン
50万~70万円(税込)

院長と理事長による書籍出版

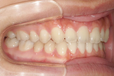
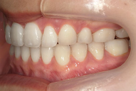
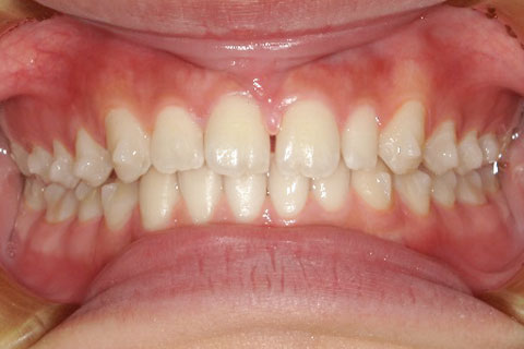
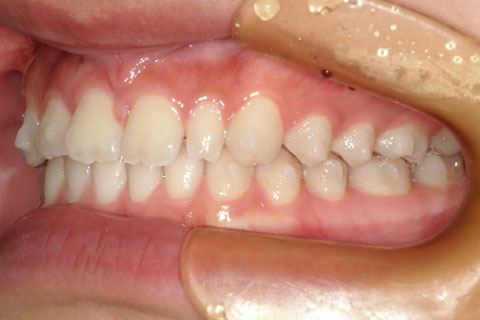
主訴:上下の歯並びのガタガタが気になる
診断名:上下顎叢生
症状:上下顎叢生
患者プロフィール:北九州市・小倉北区30代女性
治療方針:非抜歯治療
治療装置:マウスピース型矯正治療(インビザライン)
抜歯:無し
治療期間:一年半
通院回数:30回
リテーナー:上顎プレートタイプリテーナー 下顎フィクスタイプリテーナー
治療費用:検査診断料(20,000)+装置料金(500,000)+管理調整料(150,000) +装置撤去時診断料(10,000) +保定装置料金(20,000)=700,000(消費税込)
リスク副作用:痛み・治療後の後戻り・歯根吸収・歯髄壊死
詳しい症例説明:この患者さんはガタガタが気になり来院されました。マウスピースタイプの矯正装置で比較的短期間で治療を終えることができました。インビザライン(マウスピース矯正治療)で矯正治療を行うことで取り外して食事ができ、痛みもそれほど感じなかったとのことです。
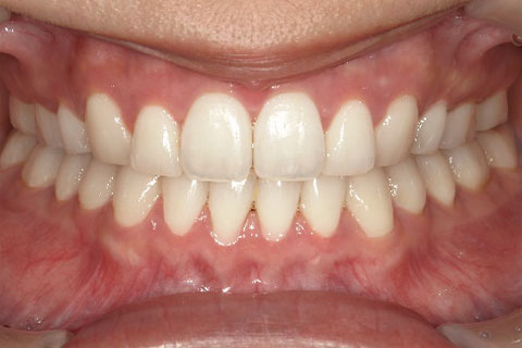
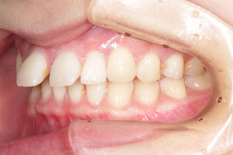
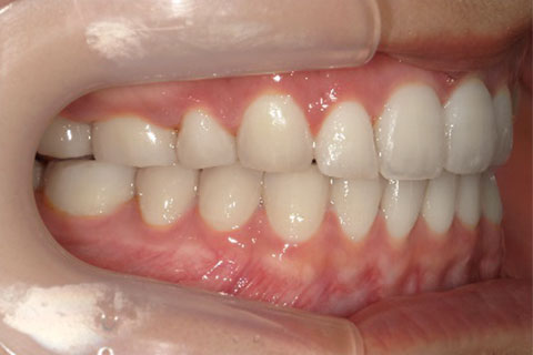
主訴:隙間が気になる
診断名:上顎正中離開
症状:上顎正中離開
患者プロフィール:北九州市・小倉北区30代女性
治療方針:非抜歯矯正治療
治療装置:マウスピース型矯正治療(インビザライン)
抜歯:無し
治療期間:8か月
通院回数:12回
リテーナー: 上顎プレートタイプリテーナー 下顎フィクスタイプリテーナー
治療費用:検査診断料(20,000)+装置料金(500,000)+管理調整料(40,000) +装置撤去時診断料(10,000) +保定装置料金(20,000)=580,000(消費税込)
リスク副作用:痛み・治療後の後戻り・歯根吸収・歯髄壊死
詳しい症例説明: この患者さんは隙間が空いていることを気にされて来院されました。マウスピースタイプの矯正装置で短期間で治療を終えることができました。インビザライン(マウスピース矯正治療)で矯正治療を行うことで治療中も快適に生活できたとのことです。
北九州市小倉北区にある医療法人ヤマヂ歯科・矯正歯科クリニックでは、日本矯正歯科学会認定医が大人のマウスピース矯正の専門的な矯正歯科治療を提供しております。目立たない矯正装置で、快適に歯並びを整えたいとお考えの方は、ぜひご相談ください。
矯正「担当医」のご紹介
九州歯科大学の矯正科を卒業、矯正治療に関して40年の経験がある歯科医師が在籍しています。
当院の院長と理事長は九州歯科大学の矯正科で学位を取得し、矯正治療を長年行ってきたことから自信をもって矯正治療を提供しています
山地 晃二郎 院長
所属学会
- 日本矯正歯科学会 認定医
- 九州矯正歯科学会
- 日本顎変形症学会
- 日本口蓋裂学会
- 日本咬合学会
→詳しい経歴はこちら
山地 正樹 理事長
所属学会
- 日本矯正歯科学会 認定医 臨床指導医
- AAO(アメリカ矯正学会)会員
- 咬合機能研究会会長
- 北九州デンタルリサーチ会長
- 日本咬合学会 常任理事
- 日本審美医科協会 会員・日本顎咬合学会評議会 指導医
- 米国歯周病学会AAP
- 日本歯周病学会
- 日歯補綴歯科学会・日本口蓋裂学会・九州矯正歯科学会
- ESK・KDR
- 厚生労働省臨床研修指導歯科医
→詳しい経歴はこちら
【注意】マウスピース矯正で歯が動かない等の
「問題」が出ています

マウスピース矯正はAIを活用した治療ですが、すべてをコンピューター任せにできるわけではありません。ベースをAIが作り、細かな調整を人の手で行って初めて成功するのがこの治療です。
しかし、細かい調整を行わずに治療を進めてしまう歯科医院が少なからず存在し、歯が動かない、予定していた歯並びと異なるなどの問題が出ています。
なぜ、こうした医院は細かな調整を行わないのでしょうか?
これはあくまで推測ですが、「AIに任せっきりで調整の仕方がわからない」「調整しなくても何とかなる」と思っているというのが大半だと思います。
AIをベースにすると言っても、担当するドクターの知識や経験がなければマウスピース矯正は成立しない治療法です。一生付き合っていく大切な歯に関わることですから、担当医の実績やこれまで行ってきた症例などを相談の際にしっかり確認されることをお勧めします。
また、ドクターだけではなく、マウスピースのメーカーにも注意が必要です。マウスピース矯正のメーカーは多く存在し、それぞれ特徴も異なります。例えばですが次のような分類ができます。
- 前歯部のみしか動かせないメーカー
- 適応ケースが限定的なメーカー
- 臨床実績が極端に少ないメーカー
- 安かろう悪かろうのメーカー
- 日本で認証されていない材料で製作されているメーカー
治療を受けたいと思っている医院が「どのメーカー」を利用しているのか、そしてそのメーカーは問題ないのかを事前に確認することが大切です。
当院では、患者さんに安心して治療を受けていただけるように、世界的なシェアを誇るマウスピース型矯正装置「インビザライン」による治療を行っています。
世界的なシェアを誇るマウスピース型矯正装置「インビザライン」
マウスピース型矯正装置「インビザライン」は歯並び全体の矯正、部分的な矯正、後戻りした歯の再矯正など、様々なケースに対応できるのが特徴です。
ここでは、当院が行うインビザライン矯正の特徴をご紹介します。
特徴1透明な装置で目立ちにくい
透明な装置なので、ワイヤー矯正よりも目立ちにくく治療中でも周りに気づかれにくいです。接客業など人前に出るお仕事の方にも人気があります。
特徴2忙しい人でも治療を続けやすい
ワイヤー矯正と比べて来院回数が少ないため、お仕事やご家庭の都合で通院が難しい方でも無理なく治療を受けられます。治療開始時に必要なマウスピースが出来上がっているので治療計画が立てやすく、また、ブラケットやワイヤーなどを装着しないため、装置が外れて付け直したりする可能性も低く、緊急を要することがありません。当院では福岡県外の患者さんもいらっしゃいます。
特徴3金属アレルギーの心配がない
マウスピース型矯正装置「インビザライン」は、ポリウレタンというプラスチックを使っているので、金属アレルギーの方でも安心して治療を受けられます。
特徴4ご自身でいつでも取り外せます
ワイヤー矯正と異なり、取り外しが可能なためセルフケアがしやすく、虫歯等のリスクを軽減できます。
「Eライン/フェイスライン」も美しくなります!
矯正をすることで、フェイスライン(Eライン)が整う事があります。特に「出っ歯」「受け口」「叢生」等の治療をすると、フェイスラインの変化を実感しやすいです。
フェイスラインに関して美容整形を検討している方は、矯正治療も1つの選択肢として考えられてもいいのかもしれません。
過去の矯正治療行って「後戻り」してしまった方へ
過去に矯正をされていた方で、歯並びが徐々に戻ってしまうケースがあります。
これは「後戻り」と呼ばれ、「保定装置(リテーナー)」の装着時間が不十分だったことが考えられます。
後戻りを経験された患者さんは次のように思うのではないでしょうか。
- 「また、高い治療費と長い時間をかけなければいけないのか…」
- 「諦めるしかないのか…」
実は、後戻りした歯の再矯正は部分的な矯正で済むことも多く、治療費や治療期間を大幅に軽減できる可能性が高いです。治療費や治療期間については、契約前にすべてお伝えさせていただきますので、このような悩みがある方は、ご相談ください。
矯正治療だけでなく、「総合治療(虫歯治療・抜歯)」にも対応

当院は、矯正の専門家が在籍している総合歯科医院です。
矯正専門医院では、質の高い矯正治療を受けられますが、虫歯や歯周病の治療はできません。一般的な総合歯科医院では、虫歯や歯周病の治療は受けられても、専門医院ほど質の高い矯正治療は受けられません。
しかし、当院では矯正治療の難しい症例にも対応できますし、虫歯や歯周病の治療、抜歯なども行えます。当院にご来院いただければ、専門的かつ総合的な治療を一箇所で受けられるのです。
| 専門性 | 抜歯 | 虫歯/歯周病治療 | 1つの医院で完結 |
|---|
| 矯正「専門」医院 | ◎ | × | × | × |
| 「総合」歯科医院 | ○or△ | ○ | ○ | ○ |
| 当院 | ◎ | ○ | ○ | ○ |
担当医からのメッセージ
当院の矯正治療は単に歯並びを整えることを目指しているわけではありません。歯並びを改善することで、「全身の健康の改善と生活の質(QOL)の向上を実感してもらうこと目標にしています。例えばですが、歯並びを整えることで次のようなメリットが得られます。
- 歯磨きがしやすく健康な歯を長く保てる
- 胃腸への負担が減って、ご高齢になってもご飯が美味しく食べられる
- よく噛めることで脳の血流が増え、認知症予防になる
- 噛み合わせが改善することで、肩こり・腰痛もが改善する
ご自身の歯で100歳までお食事を楽しんでいただけるよう、治療後の噛み合わせの仕上がりとその後の持続性にこだわって治療を行っています。
マウスピース矯正治療の流れ
STEP1カウンセリング
当院では初めにカウンセリングを行います。お口の中の状態を見させていただき、大まかな治療の流れ・内容・費用等のご説明を行います。
STEP2資料どり
お口の中の型どりやレントゲン写真等の撮影などを行います。その結果をもとに、担当医が治療計画を立てていきます。
STEP3口腔内のスキャニング
患者さんの歯並び、お口の中の状況を専用のスキャニング・マシンで読み取る、もしくは型取りを行います。治療開始前に、治療終了時の歯並びをコンピュータ上で三次元的にシュミレーションし、その画像をもとにより綿密な治療計画を作成します。
*スキャニングの場合は当院の近隣の歯科医院で行います。
STEP4治療開始
治療に必要なマウスピースが準備できたら、治療開始です。
※治療開始前に、虫歯や歯周病などの保険治療を一通り済ませておく必要があります。
最初は痛みを感じたり違和感があるかもしれませんが、1週間前後で慣れます。マウスピースは基本的に、1日22時間以上装着し、2週間に一度新しいマウスピースに交換していただきます。
STEP5定期健診
1~2か月に一度ご来院いただき、お口の中の様子をチェックし、歯のクリーニングや歯石除去もあわせて行います。
STEP6保定
歯並びが整ったら、きれいに整えた歯並びが後戻りしてしまうのを防ぐため、保定装置を装着します。
他院で治療が「難しい」と言われた/断られた方へ
ここまでお伝えしてきましたが、当院の院長と理事長は九州歯科大学の矯正科で学位を取得し、矯正治療を長年行ってきたことから自信をもって矯正治療を提供しています。そのため、難症例と言われるケースでも治療が可能なことがあります。
例えば、大学病院など複数の診療科が関与してやっと治療できる埋伏歯や手術の必要な外科矯正も行うことができます。当院には他院で相談したが、断られてしまったという患者様も多く来院しています。
その一例をご紹介します。
- 子供の歯が埋まっていて生えないと言われたのですが、矯正治療できますか?
- 埋伏歯を良好な位置まで引っ張り出すために、歯肉を切開して埋伏歯の表面を露出させて、そこに器具を付けて矯正する治療を行います。通常では、紹介状を出して大学病院で治療することが多いですがこちらの治療も当院で行うことができます。
- 大人の歯がなくて乳歯が残っていますが矯正は可能でしょうか?
- 後継永久歯がない乳歯はすぐにぬけることはありません。しかしながら30歳程度で抜歯しなければならないことがあります。この場合親知らずなどの奥歯が残っていれば乳歯を抜歯して空いたスペースに奥歯を持ってくることが可能です。これにより将来的にインプラントやブリッジなどのリスクある治療をさけることができます。
- 歯が虫歯でなくなってしまいました、矯正は可能でしょうか?
- 歯がすでにないケースでは必要に応じてそのスペースを矯正治療でとじることができないかを優先して考えます。親知らずなどが残っているケースでは親知らずを手前に移動させることで、歯がない隙間を閉じます。一番後ろの奥歯がなくなってしまい、矯正治療で寄せることが難しい場合は補綴処置を行います。
- 歯の神経をとった箇所があります、矯正は可能でしょうか?
- 結論から申し上げると可能です。
そもそも、神経がない歯は年数がたつと抜歯しなければならないケースがあります。また、神経の治療(根管治療)のクオリティも歯の寿命を左右します。根管治療のクオリティが低く、神経をとった歯がある場合は、将来的にその歯が悪くなることを考慮し、必要に応じて抜歯します。
そして、抜歯によってできた隙間を矯正治療で閉じる、あるいは親知らずなどが残っている場合はその歯を手前に移動させて隙間を閉じます。 - 他の医院で骨格の問題があるので、手術しないと矯正治療が難しいと言われたのですが、矯正できますか?
- この外科的矯正症例は、顎変形症といい、国民健康保険が適応になります。手術前に、手術後きちんと咬めるように歯科矯正治療を行います。この時、一時的に治療前のかみ合わせより悪くなることがありますが、これは手術後にきちんと咬めるようにするためで、心配いりません。手術が終われば術後矯正としてかみ合わせの仕上げをして、きちんと咬めるようになれば終わりです。
手術は、全身麻酔で行い、入院は10~20日程度必要です。ほとんどの手術は、口の中より行いますので、傷は外からは見えません。 - 顎をあけしめすると、音が鳴るのですが矯正治療で治りますか?
- 顎の開け閉めの際に音が鳴ったり、痛みがあるのは「顎関節症」の可能性があります。
当院では、矯正治療に入る前に顎の安定を図るために「挙上床」といわれる装置を使用していただく場合があります。 顎関節症はさまざまな原因が合わさって起こるといわれており、かみ合わせを正しくすることで顎関節症の症状が軽減されたり、起こりにくくなったりすることもあります。
ただし、かみ合わせが原因でない場合(くいしばり、歯ぎしりなどの悪習慣)は、挙上床では治らない場合もあります。 - 虫歯があるので、矯正治療は難しいと言われましたが、矯正できますか?
- 虫歯や歯周病がある状態で矯正治療を始めると、それらが悪化する場合がございます。当院では一般の歯科診療も同時に行えますので、矯正前に虫歯や歯周病を治してから矯正治療に移行することができます。
- 歯周病があるので他の医院で矯正は難しいと言われたのですが、矯正治療は可能ですか?
- 矯正治療中は歯に強い力がかかるため、歯周病がある方がそのまま矯正を行うと、歯周病がさらに進行する恐れがあります。したがって基本的には虫歯がある場合と同じで、矯正治療の前に歯周病の治療を行います。
当院が扱うインビザラインについて
①未承認医薬品等であること
マウスピース型矯正装置「インビザライン」は医薬品医療機器法等法(薬機法)の承認を受けていない未承認医薬品です。
②入手経路
マウスピース型矯正装置「インビザライン」は製造元であるインビザラインジャパン社から取り寄せています。
③国内の承認医薬品等の有無
国内にもマウスピース型矯正装置として医薬品医療機器等法(薬機法)の承認を受けているものは複数存在します。
④諸外国における安全性に係る情報
マウスピース型矯正装置「インビザライン」は1997年にFDA(米国食品医薬品局)により医療機器として認証を受けています。
⑤マウスピース型矯正装置「インビザライン」は完成物薬機法対象外の矯正歯科装置であり、承認薬品を対象とする医薬品副作用被害救済制度の対象外となる場合があります。
期間を短縮する方法
- ①できるだけ早く歯並びを治したい
- ②矯正治療の痛みが心配
- ③矯正装置をなるべく早くはずしたい
- ④結婚式や入学式など特別な日までにきれいな口元になりたい
- ⑤忙しいので治療期間を最短で終わらせたい
- ⑥矯正を早く終えたいけど、外科的処置には抵抗がある
これらの希望がある方には、治療期間を短縮する方法をご案内しております。
以下に説明します。
PBMヒーリング

別途費用がかかります。
メリット
- 矯正の治療期間を最大半分に短縮できる。(マウスピース交換期間は1週間から10日ほどですが、光加速装置を使用することで最短3日で交換が可能になる)
- 矯正治療による痛みを軽減。
- 自宅で簡単に使用できる。(テレビや本を読んでいる間で装置を使用可能)
- マウスピースを清潔に保ちやすい(マウスピースの交換時期が早くなるので、その分マウスピースをきれいな状態で保ちやすい)
デメリット
- 健康保険適応外の治療(歯科矯正は基本的に保険適応外の治療になる)
- 継続的な使用が必要
- 効果が認められないことがある
振動加速装置

別途費用がかかります。
メリット
- 治療期間の短縮(患者様によって個人差がありますが、マウスピース矯正装置は通常7日でアライナーを交換のところ、振動加速矯正装置を使用すれば最短5日交換が可能になる・ワイヤー矯正の場合は、通常1か月ごとの通院間隔を3週間にすることが可能になり、治療期間の短縮につながる)
- 痛みの軽減(歯全体に振動を与えることで細胞を刺激し、歯列矯正に伴う痛みなどの不快感が軽減される)
- より精密な治療が可能に(同じ治療期間に通常より多くアライナーを使用できるので矯正治療の精度が高まる)
デメリット
- 上手く使えるか(加速装置は患者様ご自身で使うものなので、慣れていないと装置をうまく使えるかわからない)
- 安全性の問題(日本では薬事法で認可されていない医療器具なので、予想外のトラブルがあったときにリカバーできるのかという面が気になる方もいる)
- より精密な治療が可能に(同じ治療期間に通常より多くアライナーを使用できるので矯正治療の精度が高まる)
- 料金がかかる
- 継続的な使用が必要
- 効果が認められないことがある
コルチコトミー

別途費用がかかります。
コルチコトミー矯正のエビデンス(科学的根拠)についてはこちら
メリット
- 歯が早く動くため、矯正治療期間を短縮できる。(抜歯を伴う矯正治療であれば2~3年のところ、外科処置を伴う矯正治療は、1年~1年6か月になる。)
- 歯肉や歯槽骨を増大できる。
- 歯が動く範囲を増やせる。
デメリット
- 外科処置が必要、それによる痛みがある。腫れるオペが2~3回ほど必要。
- 料金がかかる。
- 2~3日腫れて、(術後1週間程度)に顔に青あざができるが2~3週間後に消失する。
- 歯肉に傷跡ができる。
- こちらの指示に従わないと短期間で治らない。(硬いものを食べない、10日~2週間に一度の来院)
- 30~50代の方は1年以上期間がかかる可能性がある。
初診「個別」相談へのご案内
当院では、患者さんが抱えていらっしゃるお口のお悩みや疑問・不安などにお応えする機会を設けております。どんなことでも構いませんので、私たちにお話ししていただけたらと思います。
ご興味がある方は下記からお問い合わせください。